Protocol
The answer depends on the question: Optimal conditions for western blot characterization of muscle collagen type 1 depends on desired isoform
Victoria J. Iannarone‡, Geneva E. Cruz‡, Brendan A. Hilliard, Mary F. Barbe*
Department of Anatomy and Cell Biology, Lewis Katz School of Medicine, Temple University, Philadelphia, PA 19140, United States
‡Equally contributing first authors
*Corresponding author: Mary F. Barbe, Email: mary.barbe@temple.edu
Abbreviations used: BME, β-mercaptoethanol; BSA, bovine serum albumin; IP, immunoprecipitation; ML, muscle lysates; SDS, sodium dodecyl sulfate; PBS, phosphate buffered saline; PP, protein samples
Received January 1, 2019; Revision received June 7, 2019; Accepted June 7, 2019; Published August 15, 2019
Abstract
Fibrillar collagen type 1 is the most abundant type of collagen within the body and is a critical component of extracellular infrastructure. In order to assess collagen synthesis and extracellular accumulation in fibrotic disorders, improved methods are needed to detect changes in procollagen versus mature collagen at the protein level. Using Western blot methodology, we systematically examined: (1) gel composition (Tris-glycine vs. bis-Tris, gradient vs. non-gradient, sodium dodecyl sulfate (SDS) vs. no SDS); (2) sample preparation (SDS vs. no SDS, β-mercaptoethanol (BME) vs. no BME, boiling vs. no boiling); and (3) running buffer composition (SDS vs. no SDS). Our results indicate full native gel conditions prevent resolution of all collagen type 1 bands. The best resolution of type 1 procollagens is achieved using 4%–12% Tris-glycine gels without the presence of SDS in the gel itself, although SDS in the running and sample buffers are needed. Also, BME must not be added to the sample buffer and samples should not be boiled. For characterization of mature collagen 1(I), both 8% and gradients type gels are appropriate, although still without SDS, yet with SDS included in both running and sample buffers, BME must be added to the sample buffer, and samples should not be boiled. Boiling is to be avoided as the antigenic site recognized by the monoclonal antibody used is sensitive to thermal denaturation, as is the case with many monoclonal antibodies available on the market. Thus, the exact parameters employed are dependent upon the collagen protein product that the scientist desires to identify.

Keywords: collagen type 1, muscle, mature collagen, procollagen, western blot
BACKGROUND
A key goal of our lab is to examine mechanisms underlying overuse-induced muscle, tendon and nerve fibrosis and effective treatments for these pathological tissue changes [
1-
3]. Excessive deposition of extracellular matrix is also associated with other disorders, such as pathological mechanical overload of the heart [
4]. Western blot methods are needed to detect changes in collagen type 1 protein synthesis, in which synthesis of intracellular procollagen products might increase more than extracellular mature collagen [
5]. Therefore, the focus of this protocol is on western blot characterization of collagen type 1 chain subtypes.
Collagen is known to be derived from a larger precursor that is subsequently modified
via cleavage events to smaller derivatives, which can vary between tissues and during different physiological circumstances depending on the relative rates of biosynthesis and degradation [
6]. As shown in
Figure 1, collagen I precursors are complex proteins composed of three polypeptide chains called α chains (two α1 chains and one α2 chain) wound together in a right handed triple helix. The intact disulfide bonded collagen type 1 has a molecular weight range of ~250 and higher under non-reduced conditions (no BME) [
7]. The observed molecular weight ranges of procollagen a1(I) and a2(I) chains are ~140–200 kDa [
1,
3,
5,
7,
8]. Cleavage of first the N-terminus propeptide and then the C-terminus propeptide yields mature collagen a1(I) and a2(I) (~100 to 140 kDa dependent on tissue type, preparation and assessment conditions) [
3,
5,
7,
9,
10]. Collagen a1(I) and a2(I) from which the N- and C-terminals have been removed are secreted and function as the building block for collagen fibril formation [
11]. Further processing produces cleaved collagen I products that range between ~50–80 kDa in muscles [
6,
8].
Many manufacturer protocols and antibody sheets currently provided for collagen visualization using Western blot methods recommend using either non-thermally denatured samples or all-native immunoblot conditions (no β-mercaptoethanol (BME), no boiling and no SDS). However, we have found that characterization of pro and mature collagen is not possible on a purely native-conditioned western (as we will show in
Fig. 2). Compounding the problem is that immunoblots shown in the literature are often trimmed to show only one molecular weight band, although several bands can be visualized in a whole Western blot [
1,
3,
5,
7,
8].
Figure 1. Schematic diagram of rat collagen type 1 biosynthesis. The stages of maturation and the cleaved products (shown as breaks in the chains) of the individual a1 and a2 peptides together with their amino acid (AA) sequence lengths are shown. The trimer polypeptides formed are also illustrated.
The necessity of an updated step-by-step protocol for the characterization of procollagen type 1 versus mature collagen protein expression is paramount for our research question. To this end, we systematically examined: (1) gel composition (Tris-glycine
vs. bis-Tris, gradient
vs. non-gradient, SDS
vs. no SDS); (2) sample preparation (SDS
vs. no SDS, BME
vs. no BME, boiling
vs. no boiling); and (3) running buffer composition (SDS
vs. no SDS). We used a monoclonal antibody directed against procollagen type 1 (Sigma #C2456 anti-collagen type 1, clone Col-1 also available from other suppliers) since we have successfully used it for both immunohistochemistry and western blot analyses [
1-
3], despite manufacturer’s suggestions that it is best used for only immunohistochemistry and dot blot. With these different approaches, we explore which combination allows clearest detection of procollagen bands versus mature collagen bands needed to identify changes in collagen synthesis in future studies, and which method combination might allow detection of both procollagen and mature collagen subtypes.
Materials
Tissues
Soleus skeletal muscles from young adult female Sprague-Dawley rats (3 months of age at onset of experiments) were used (Charles Rivers, Wilmington, MA).
Reagents
Tissue homogenization
- PBS (phosphate buffered saline), without calcium and magnesium, 1×, pH 7.4 (Fisher Scientific, cat. #MT21040CV, Waltham, MA)
- Lysis buffer (see Recipes, made fresh immediately before homogenization and stored on ice)
- Pierce™ Protease Inhibitor Tablets, EDTA-Free (Thermo Scientific™, cat. #A32965, Waltham, MA)
- 1.5 ml Micro Centrifuge Tube, Sterile (Cell Treat, cat. #229443, Peperell, MA)
- Conical Tubes, 15 ml (Invitrogen™, cat. #AM12500, Carlsbad, CA)
- 70% ethanol
Protein quantification
- Pierce™ BCA Protein Assay Kit (Thermo Scientific™, cat. #23225, Waltham, MA)
- Costar 96-Well Flat-Bottom EIA Plate (Bio-Rad, cat. #2240096, Hercules, CA)
Sample preparation
- Collagen I, Rat Tail (Purified Protein, 3 mg/ml) (Gibco®, cat. #A10483-01, Carlsbad, CA)
- 4× Laemmli Sample Buffer (Bio-Rad, cat. #161-0747, Hercules, CA)
- Novex™ Tris-Glycine Native Sample Buffer (2×) (Invitrogen™, cat. #LC2673, Carlsbad, CA)
- β-mercaptoethanol (Fisher BioReagents®, cat. #BP176-100, Fair Lawn, NJ)
- Lysis buffer (see Recipes)
- Sample/protein of interest
Gel preparation
- Western Blotting Filter Paper, 7 cm × 8.4 cm (Thermo Scientific™, cat. #84783, Waltham, MA)
- 30% Acrylamide/Bis Solution 29:1 (Bio-Rad, cat. #1610156, Hercules, CA)
- Tris-Base (Fisher Bioreagents®, cat. #BP152-5, Fair Lawn, NJ)
- 6 N HCl (FisherChemical, cat. #SA56-500, Fair Lawn, NJ)
- Sodium dodecyl sulfate (SDS), white powder (Fisher BioReagents™, cat. #BP166-500, Fair Lawn, NJ)
- Ammonium Persulfate (Sigma-Aldrich, cat. #A3678-25G, St. Louis, MO)
- TEMED (Bio-Rad, cat. #1610800, Hercules, CA)
- SureCast™ Gel Handcast Station (Invitrogen™, cat. #HC1000, Carlsbad, CA)
- SureCast™ Glass Plates (Invitrogen™, cat. #HC1001, Carlsbad, CA)
- SureCast™ Gel Spacer (Invitrogen™, cat. #HC1003, Carlsbad, CA)
- 1.0 mm 10-Well, 12-Well or 15-Well Combs (Novex®, cat. #NC3010, NC3012, NC3015, Carlsbad, CA)
- 2-Propanol (also known as isopropyl alcohol) (Fisher Chemical, cat. #A416-500, Fair Lawn, NJ)
- diH20
Gel electrophoresis
- Novex™ 4%–12% Tris-Glycine Mini Gels, WedgeWell™ format, 10-well (Invitrogen™, cat. #XP04120BOX, Carlsbad, CA, store at 4°C for up to 1 year)
- NuPAGE™ 4%–12% Bis-Tris Protein Gels, 1.5 mm, 10-well (Invitrogen™, cat. #NP0335BOX, Carlsbad, CA, store at 4°C for up to 1 year)
- iBright™ Pre-stained Protein Ladder (Invitrogen™, cat. #LC5615, Waltham, MA)
- NativeMark™ Unstained Protein Standard (Novex®, cat. #LC0725, Carlsbad, CA)
- Tris base (Fisher BioReagents™, cat. #BP152-5, Fair Lawn, NJ)
- Glycine (Fisher Bioreagents™, cat. #BP381-5, Fair Lawn, NJ)
- Sodium dodecyl sulfate (SDS) (Fisher BioReagents™, cat. #BP166-500, Fair Lawn, NJ)
- 1× Tris-glycine running buffer (with or without SDS) (See Recipes) NuPAGE™ MOPS SDS Running Buffer (20×), diluted to 1× with diH20 (Invitrogen™, cat. # NP0001, Carlsbad, CA)
- Gel Loading Tips 1–200 µl (Fisherbrand™, cat. #02-707-181, San Diego, CA)
Immunoprecipitation
- Pierce™ Classic IP Kit (ThermoFisher™, cat. #26146, Rockford, IL)
- Anti-Collagen I, polyclonal rabbit (Abcam, cat. #ab34710, Cambridge, MA)
- Tris, 1.0 M buffer soln., pH 9.5 (Alfa Aesar™, cat. #AAJ62084K2, Ward Hill, MA)
Electrophoretic blotting
- 1× Tris-glycine transfer buffer (See Recipes, store at 4°C)
- AmershamTM ProtranTM 0.2 µm NC Nitrocellulose Blotting Membrane (GE Healthcare Life Science, cat. #10600011, Germany)
- Western Blot Roller (Thermo Scientific™, cat. #84747, Waltham, MA)
- Excelta™ Plastic tweezers (Fisher Scientific, cat. #17-467-347, Fair Lawn, NJ)
- SureCast™ Multi-use Tool (Invitrogen™, cat. #HC1010, Waltham, MA)
- Ponceau S solution (Sigma-Aldrich, cat. #P7170-1L, St. Louis, MO)
- Hanks’ Balanced Salt Solution (HBSS), 1× (Gibco® by Life Technologies, cat. #14175-079, Grand Island, NY)
Antibody incubation
- Anti-Collagen, type 1, monoclonal mouse (Sigma-Aldrich, cat. #C2456, St. Louis, MO)
- Beta Tubulin Polyclonal Antibody, (ThermoFisher™, cat. #PA1-16947, Rockford, IL, used at 1:1000)
- IRDye® 800CW Goat Anti-Mouse (LI-COR®, cat. #925-32210, Lincoln, NE)
- IRDye® 800CW Goat Anti-Rabbit (LI-COR®, cat. #926-32211, Lincoln, NE)
- IRDye® 680RD Goat Anti-Rabbit (LI-COR®, cat. #926-68071, Lincoln, NE)
- Bovine Serum Albumin (BSA), Fraction V, Cold-ethanol Precipitated (Fisher BioReagents™, cat. #BP1605-100, Fair Lawn, NJ, store at 4°C)
- Tween® 20 (Sigma Aldrich, cat. #P1379, St. Louis, MO, very viscous liquid so pipette very slowly to not draw any air)
- Black Western Blot Incubation Boxes (LI-COR®, cat. #929-97201, Lincoln, NE)
Recipes
- Lysis buffer (made fresh daily): Pierce protease inhibitor, EDTA-Free 1 tablet, PBS 50 ml, disssolve by vortexing
- 10% APS (made fresh daily): Ammonium persulfate 0.10 g, diH2O 1 ml, dissolve by vortexing
- 1.5 M Tris-HCl, pH 8.8 (150 ml): Tris base 27.23 g, diH2O 80 ml, adjust to pH 8.8 with 6 N HCl, diH2O to 150 ml
- 0.5 M Tris-HCl, pH 7.6 (100 ml): Tris base 6.00 g, diH2O 60 ml, adjust to pH 7.6 with 6 N HCl, diH2O to 100 ml
- 10% SDS (10 ml): SDS 1.00 g; diH2O 9 ml, dissolve with gentle stirring, diH20 to 10 ml
- 10× SDS-PAGE running buffer (1 L): Tris base 30.30 g, glycine 144.10, SDS 10.00 g, diH2O to 1 L. For 1×, mix 100 ml with 900 ml diH20.
- 10× native PAGE running buffer (1 L): Tris base 30.30 g, glycine 144.10 g, diH2O to 1 L. For 1×, mix 100 ml with 900 ml diH20.
- 10× PAGE transfer buffer (1 L): Tris base 105.0 g, Glycine 27.5 g, diH2O to 1 L. For 1×, mix 100 ml with 800 ml cold diH20 and 100 ml methanol.
- 10× TBS (1 L): Tris Base 24.2 g, NaCl 80 g, diH2O to 1 L. For 1×, mix 100 ml with 900 ml diH20.
- 1× washing buffer (TBST): 10× TBS 100 ml, Tween 20 1 ml, diH2O to 1 L
- Blocking buffer (5% BSA in TBST): 1× washing buffer (TBST) 100 ml, BSA (in 4°C fridge) 5 g. Allow to sit at 4°C for ~15 min to mix before using.
- Ponceau S staining buffer, 1:10 (50 ml): Ponceau S solution 5 ml, dH2O 45 ml
Equipment
- –20°C freezer
- –80°C freezer
- Hot Plate (set to 100°C)
- Homogenizer VDI 12 (VWR™, cat. #431-0125, Radnor, PA)
- 2 VWR™ Platform Rocking Shaker 100 115V (Store one at RT and one at 4°C, VWR™, cat. #VWRU40000-300)
- Eppendorf® Microcentrifuge 5415 D placed in a 4°C refrigerator (Sigma-Aldrich, cat. #Z604062, St. Louis, MO)
- Vortexer
- Shaking 37°C incubator
- PowerEase™ 300W Power Supply (Thermo Fisher Scientific™, cat. #PS0300, Waltham, MA)
- iMark™ Microplate Absorbance Reader (Bio-Rad, cat. #1681130, Hercules, CA)
- SureCast Handcast System (Invitrogen™, cat. #HC1000S, Waltham, MA)
- Mini Gel Tank (Invitrogen™, cat. #A25977, Waltham, MA)
- Mini Blot Module (Invitrogen™, cat. #B1000, Waltham, MA)
- Odyssey Classic Infrared Imaging System (LI-COR®, cat. #980-11174, Lincoln, NE)
PROCEDURES
Tissue homogenization
1.Keep tissue in a sterile 15 ml conical tube on ice.
2.Prepare fresh lysis buffer and keep on ice.
3.Add 1.0 ml lysis buffer to the conical tube with the tissue and allow to sit for 15 min.
4.Assemble the homogenizer and sterilize by rinsing 3 times in 70% ethanol, then 2 times in PBS.
5.Turn on the homogenizer for a maximum of 5–10 s at a time to homogenize the tissue without overheating. Keep samples on ice during this step.
TIP: Sterile tweezers may be used to remove unhomogenized pieces stuck on the tip of the homogenization tool and place back at the bottom of the conical tube.
6.Once the sample is completely homogenized and in a mostly liquid-like state, transfer the sample to a sterile Eppendorf tube.
TIP: If some sample is still left in the conical tube, add more lysis buffer (0.3–0.5 ml) to complete transfer.
7.Rotate samples in a rotating rack for 15–30 min at 4°C.
8.Centrifuge at 12000 RPM for 15 min at 4°C.
9.Pipette off the supernatant into a sterile Eppendorf tube.
NOTE: This is the protein sample of interest.
CRITICAL STEP: To avoid freeze-thaw, aliquot samples immediately and use. For future use, store the aliquots at −80°C. Degradation can occur, so keep the number of freeze-thaws to as few as possible.
Protein quantification
10.Follow Pierce™ BCA Protein Assay kit’s instructions.
11.Use the acquired protein concentration to calculate the number of µl of protein sample containing 20 µg total protein to be loaded into each well.
Gel preparation
12.Preparation of separating gel:
12.1.Assemble glass plates with rubber divider in casting stand (ensure clean by washing first with soap & water, then 70% ethanol) and tilt the casting stand backward.
12.2.In a 50 ml conical tube, combine the following reagents for an 8% Tris-glycine gel (include SDS for SDS-PAGE; exclude SDS for NATIVE-PAGE and replace with diH20). Add TEMED last (dH2O 9.3 ml, 30% acrylamide 5.3 ml, Tris-HCl (1.5 M) 5.0 ml, SDS (10%) 0.2 ml, 10% APS (fresh) 0.2 ml, TEMED 0.012 ml).
12.3.Gently mix the tube by inverting slowly to avoid introducing air bubbles as oxygen inhibits polymerization.
TIP: Only a few times because it polymerizes quickly.
12.4.Slowly transfer approximately ~8 ml of the solution or until it reaches the “fill line” on the plate and no more than 10 ml, into the gap between the glass plates to avoid forming gas bubbles using a serological pipette.
12.5.Top the gel off with a layer of isopropyl alcohol to limit contact with air and to remove air bubbles that may have formed when pouring the gel.
12.6.Allow the gel to polymerize (20–30 min).
TIP: Placing a plastic bulb pipette into the left over solution allows the observation of the polymerization of the finished gel without touching the actual gel itself.
13.Preparation of stacking gel:
13.1.Use filter paper to soak up the isopropyl alcohol that is above the separating gel.
13.2.13.2 In a 50 ml conical tube, combine the following reagents for an 8% Tris-Glycine Gel (include SDS for SDS-PAGE, or exclude SDS for NATIVE-PAGE and replace with diH20). Add TEMED last (dH2O 5.5 ml, 30% Acrylamide 1.3 ml, Tris-HCl (0.5 M) 1.0 ml, SDS (10%) 0.08 ml, and 10% APS (fresh) 0.08 ml TEMED 0.008 ml). 13.3 Gently mix the tube by inverting slowing (only a few times).
13.3.Slowly transfer approximately 3 ml of the solution into the gap between the glass plates to avoid forming gas bubbles.
13.4.Insert the comb at a slight angle and allow the gel to polymerize for about 20 min. If bubbles form around the comb, remove it and replace it again.
NOTE: Gel preparation is not necessary if using pre-casted gels, such as Novex™ 4%–12% Tris-glycine mini gels.
Gel electrophoresis
14.Turn on the heat plate.
15.Thaw protein samples on ice.
16.If the protein concentration of one’s sample is known, proceed to next step. If not, follow “Protein quantification.” For nonreducing conditions, steps 17–23 can be altered to exclude the reducing agent (BME).
17.Calculate the combined amounts of [sample buffer + BME] and [protein sample + lysis buffer] based on the desired total volume loaded into each tube (this protocol recommends 20 µl) and concentration of the sample buffer. For 4× sample buffer: combine 1 part [4× sample buffer + BME] with 3 parts [protein sample + lysis buffer]. Example: Total µl = 20 µl; 1/4 (20) = 5 µl = [sample buffer + BME]; 3/4 (20) = 15 µl = [sample + dilutant].
18.Calculate the individual amounts of sample buffer and BME necessary to make the combination calculated in step 17. This protocol recommends a 10% BME in sample buffer solution, which can be made by combing 1 part BME with 9 parts sample buffer. Example: 1/10 (5) = 0.5 µl = BME; 9/10 (5) = 4.5 µl sample buffer.
19.Calculate the individual volumes of protein sample and lysis buffer necessary to make the combination calculated in step 17. Example: 15 µl−Vsample = 15−3.62 = 11.38 µl lysis buffer.
20.Create a table as illustrated below (Table 1), including the numbers assigned to each lane.
21.Place the cassette clamps into the electrophoresis chamber, insert the gel(s), clamp, fill with running buffer to fill line, and remove the gel comb slowly and straight up.
22.Prepare individual solutions for each well in separate Eppendorf tubes. Add [BME + sample buffer] last.
23.Vortex and spin down the samples.
24.Boil the samples (if desired) at 100°C for 5 min.
25.Load 2 µl of iBright Fluorescent Marker into 1 or more lane.
26.Load the protein sample solutions into the other lanes.
27.Run the gel on constant mode at 125 V for handcast gels, 225 V for Novex 4%–12% Tris-Glycine precast gels, OR 200 V for NuPAGE™ 4%–12% Bis-Tris Protein Gels. Once the settings are correct and lid is secure, one can then hit “run”.
NOTE: Watch the gel, as exact running time will vary.
28.When the gel is finished running, turn off the power supply and remove the lid.
29.Remove cassette, separate the 2 sides of the gel (be careful not to rip the gel), nick the top left corner of the gel, and trim the top and bottom using the SureCast Multiuse Tool.
Table 1. Example calculations for total volume and individual volumes of protein sample, lysis buffer, BME, and sample buffer to be loaded into each well.
|
|
|
|
|
|
|
|
|
1
|
Marker
|
2
|
0
|
0
|
0
|
2
|
|
2
|
BME + boiled
|
3.62
|
11.38
|
0.5
|
4.5
|
20
|
|
3
|
BME + Not boiled
|
3.62
|
11.38
|
0.5
|
4.5
|
20
|
|
4
|
No BME + boiled
|
3.62
|
11.38
|
0
|
5
|
20
|
|
5
|
No BME + Not boiled
|
3.62
|
11.38
|
0
|
5
|
20
|
|
6
|
+-Control: BME + boiled
|
2
|
13
|
0.5
|
4.5
|
20
|
|
7
|
+-Control: BME + not boiled
|
2
|
13
|
0.5
|
4.5
|
20
|
|
8
|
+-Control: No BME + boiled
|
2
|
13
|
0
|
5
|
20
|
|
9
|
+-Control: No BME + not boiled
|
2
|
13
|
0
|
5
|
20
|
|
10
|
Marker
|
2
|
0
|
0
|
0
|
2
|
If no BME is being used, the volume of the lysis and sample buffer will increase.
Protein blotting
30.Prepare 250 ml of 1× PAGE transfer buffer containing 10% methanol (see Recipes).
31.Place the gel in 1× transfer buffer to allow equilibration and washing of the running buffer salts to come off.
32.Soak 2 pieces of filter paper in 1× transfer buffer in a clean container.
33.Soak two sponge pads very thoroughly in 1× transfer buffer in a clean, separate container from everything else.
34.Cut a piece of nitrocellulose membrane to the size of the filter paper and in a third container, soak it in 1× transfer buffer. Be sure to nick the upper left hand corner.
35.Place the cathode core (-) side down first on a flat surface. Fill with ~10 ml of 1× transfer buffer.
36.Squeeze one sponge pad to remove excess transfer buffer and place in the cathode core.
37.Place one presoaked piece of filter paper on top of the sponge pad. Use blotting roller to remove any air bubbles.
38.Place pretrimmed and rinsed gel carefully on top of the filter paper using the gel knife.
39.Briefly wet the membrane in clean 1× transfer buffer and place over the gel using clean tweezers.
NOTE: Once the membrane is placed the proteins begin to transfer—so try to not move it!
40.Place the second piece of presoaked filter paper on top of the membrane. Use blotting roller to remove any air bubbles. Do this carefully to not disrupt the sandwich already built.
41.Squeeze the second sponge pad to remove excess transfer buffer and place in the filter paper.
42.Place the anode core (+) on top of the sandwich, closing the module.
43.Place the entire module with cathode core (-) facing front into one of the chambers in the mini gel tank. Make sure the cassette clamp has been removed after running of the gel.
44.Fill the module core with 1× transfer buffer until the fill line. Do not over fill.
45.Add fresh 1× transfer buffer, about 225 ml, or dH20, to the outside chamber to the cathode on the tank.
46.With the power supply OFF, place lid firmly onto the tank base and plug the electrode cords into the corresponding holes on the power supply (red to red, black to black).
47.Turn ON the power supply and set to a constant voltage of 5 V. Transfer for 150 min.
Note: These settings do not apply to every single power supply and gel apparatus. Trial and error with one’s own equipment may need to be done.
48.Once the transfer is complete, turn the power supply to OFF.
49.Carefully dissemble the module core using care to not tear the membrane.
50.Using clean tweezers, place the membrane in a clean container with dH20 to rinse for at least 5 min to remove any solutions left on from the transfer.
51.To check transfer: cover the entire upper surface of the membrane with Ponceau S staining buffer and incubate until bands are visible (approximately 1 min). The Ponceau buffer may be collected and reused up to 10 times.
52.If not done earlier, nick top left corner of membrane with a clean razor and trim excess membrane.
53.Rinse the membrane with 1× HBSS until the background is clean.
54.Wash the membrane twice with distilled water for 5 min while preparing for blocking & incubating.
Membrane blocking & antibody incubation
55.Thaw antibodies on ice.
56.Incubate the membrane with 5 ml blocking buffer for 1 h at 4°C with gentle shaking in a black western incubation box. Discard solution.
57.Dilute the primary antibody to the desired concentration in 5 ml blocking buffer. Sigma C2456 primary antibody was used at a dilution ratio of 1:2000, equivalent to 2.5 µl C2456 in 5 ml blocking buffer.
58.Incubate the membrane with the diluted primary antibody overnight at 4°C with gentle shaking. Discard solution.
59.Wash the membrane 4× for 5 min at room temperature with 15 ml TBST and gentle shaking, discard solution after every wash.
60.Dilute the secondary antibody to the desired concentration in 5 ml blocking buffer. This protocol recommends using IR-Dye 800 Goat Anti-mouse at a dilution ratio of 1:20000, equivalent to 0.25 µl secondary antibody in 5 ml blocking buffer.
61.Incubate the membrane with the diluted secondary antibody for 1 h at room temperature with gentle shaking. Discard solution.
62.Wash the membrane 4× for 5 min at room temperature with 15 ml TBST and gentle shaking, discard solution after every wash.
63.Discard the last wash and add a little diH2O. Membrane is ready to be scanned on the Odyssey Classic Infrared Imaging System Imager (Protein Visualization).
CRITICAL STEP: Always keep the membrane moist.
Optional: If a housekeeping gene is needed, after imaging the membrane, repeat steps 56–63, but using an IR-Dye 680 to show the loading control in the opposite spectrum. It is also beneficial to use an antibody with a species not already used (e.g., if your primary was raised in mouse, now use a loading control raised in rabbit to prevent cross-reactivity).
Immunoprecipitation
Due to the nature of this protocol, two different techniques for recovering the immune complex were done. Both were taken from Pierce™ Classic IP Kit (ThermoFisher™) following the manufacturer’s protocol. Optimizations are noted here.
NOTE: The muscle lysate used was obtained through our Tissue Homogenization procedure and the lysis buffer is described in Recipes. The “IP lysis/wash buffer” provided with the kit was disregarded due to the EDTA component. You may use this buffer, however, if EDTA is not a concern.
64.Mammalian cell lysis
64.1.If you have your tissue lysate already, proceed to “Step 65” (as we did), or choose a protocol under “Step 64” that fits what type of lysate you are trying to achieve (Protocol I or II).
65.Pre-clear lysate using the control agarose resin
65.1.Instead of 1 mg of lysate, 500 µg of muscle lysate was used. Everything else remained the same.
66.Preparation of immune complex
66.1.For the monoclonal mouse antibody (Sigma) 2µl was loaded into each corresponding tube.
66.2.For the polyclonal rabbit antibody (Abcam) 1 µl was loaded into each corresponding tube.
66.3.300 µl of our Lysis buffer was used to dilute the antibody/lysate solution.
66.4.Incubation occurred overnight at 4°C.
67.Capture of the Immune complex
67.1.The alternative wash buffer (20× TBS buffer) was used at a 1× concentration (diluted with diH20) because detergent-free is important to our samples.
68.Elution of the Immune complex
68.1.The final product from “step 67” was split into 4 tubes to analyze the four different conditions via western blotting: Boil/BME, No Boil/BME, Boil/No BME, and No Boil/No BME.
68.2.Sample-buffer elution: Boil/BME conditions were implemented here. BME was used instead of DTT. This was performed after the Low-pH elution was done.
68.3.Low-pH elution: No Boil/BME, Boil/No BME, and No Boil/No BME conditions were done using this method and 4× Leammli buffer (Bio-Rad) was used. Three elutions were done and the optional step of neutralizing each elution with 1 M Tris, pH 9.5 was performed.
Protein visualization
69.Use the Odyssey Classic Infrared Imaging System and Image Studio™ to capture an image of your finished membrane. Set conditions to: U 169 µm, Q high, F 0.0 mm, and intensity 5. Clean the surface with diH2O and wipe with a kimwipe.
70.Place membrane on screen using plastic tweezers.
71.Use mini roller to roll out any air bubbles.
72.Image membrane.
ANTICIPATED RESULTS
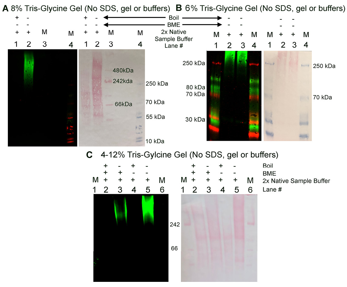
When all-native conditions (no boiling, no SDS and no BME) were employed for western blot characterization of collagen type 1 in muscle tissue lysates, only an unresolved smear above ~240 kDa was detected using the Sigma #C2456 antibody in 8% Tris-glycine gels, 6% Tris-glycine gels, or 4%–12% Tris-glycine gels (Fig. 2A, lane 2; Fig. 2B, lane 2 and 3; Fig. 2C, lane 5). This result suggests that all-native western blot conditions are not suitable for the detection of resolved collagen type 1 bands. Addition of BME somewhat improved the smear (Fig. 2C, lane 3), although not sufficiently to detect separate procollagen bands. When samples were boiled under these gel conditions, there was a loss of detection of any signal using this antibody (Fig. 2A, lane 1; Fig. 2C, lanes 2 and 4).
We next explored eliminating SDS from 8% Tris-glycine gels (
i.e., examined this gel type with and without SDS within the gels themselves) since SDS dissociation of protein samples can alter disulfide bonds and can effect protein migration [
12]. We altered typical methods to include SDS in sample and running buffers to allow partial denaturation of proteins with the hope of achieving pro- and mature collagen 1 band detection. When muscle lysates were run on 8% Tris-glycine gels without SDS (
Fig. 3A), samples that were both boiled and exposed to BME showed a loss of antibody antigenicity (see
Fig. 3A, lane 2), supporting the manufacturer’s warning that the Sigma #C2456 antibody is not suitable for thermally denatured samples. The same muscle lysate when boiled with BME showed faint bands of collagen cleavage products at ~50 kDa (
Fig. 3A, lane 3) representing denatured and hydrolyzed collagen polypeptides [
13]. The addition of BME to the sample in lane 3 reduced the ability to detect procollagen bands above ~130 kDa observable in lanes 4 and 5 in which no BME was added to the muscle lysate. The ~130 kDa bands were also seen in all purified rat tail collagen samples (
Fig. 3A, lanes 7–10). This molecular weight band represents mature collagen a1(I) [
3,
5,
9,
10]. However, the boiled sample in lane 4 also showed a cleaved protein band at ~50 kDa. In contrast, lane 5’s conditions (no boiling and no BME) allowed detection of not only the ~130 kDa bands but also a ~250 kDa band that is likely intact disulfide-bonded collagen type 1 [
7]. This is supported by detection of this band in purified rat tail collagen samples in lanes 7–10. Findings of lanes 4 and 5, versus lanes 2 and 3, match prior findings that collagen precursors are best visualized in lysates exposed to non-reducing conditions [
7,
14].
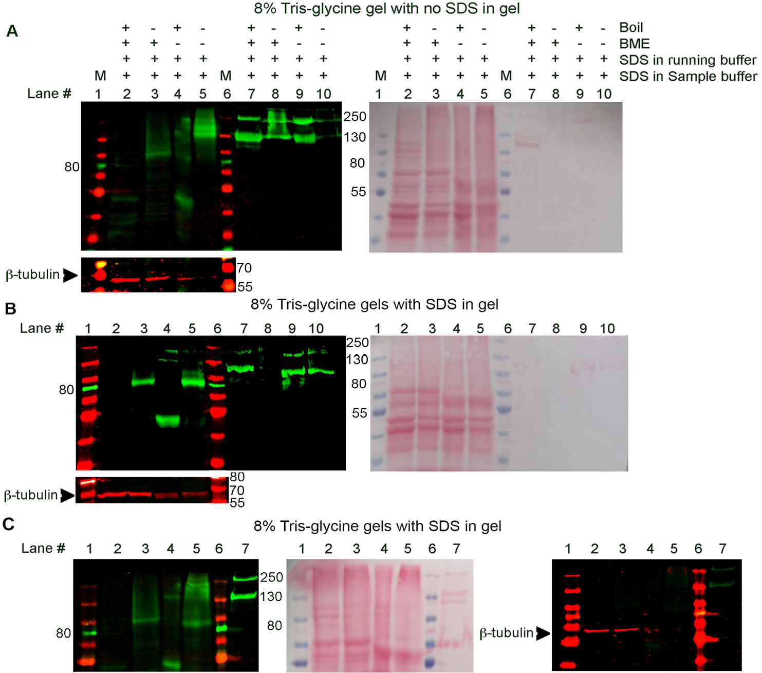
Results were similar although less robust in 8% Tris-glycine gels with SDS (Fig. 3B and 3C). Exposure of muscle lysates to boiling and BME abolished their antigenicity (lane 2 in each figure). Elimination of BME allowed detection of mature (~130 kDa) and procollagen bands (between 130 kDa and 250 kDa) in lanes 4 and 5. The ~130 kDa and ~250 kDa bands were also visible in the purified rat tail collagen samples (Fig. 3B and 3C). No boiling and no BME conditions for muscle lysates (lane 5) allowed the best detection of several procollagen bands in our 8% Tris-glycine gels with SDS (Fig. 3C) as in 8% Tris-glycine gels without SDS (Fig. 3A). However, as a cautionary note, inclusion of SDS in these 8% Tris-glycine gels and exposure of samples to either BME or boiling lead to increased collagen cleavage products at ~50 kDa and ~80 kDa in lanes 3–5 of Figure 3B and 3C.
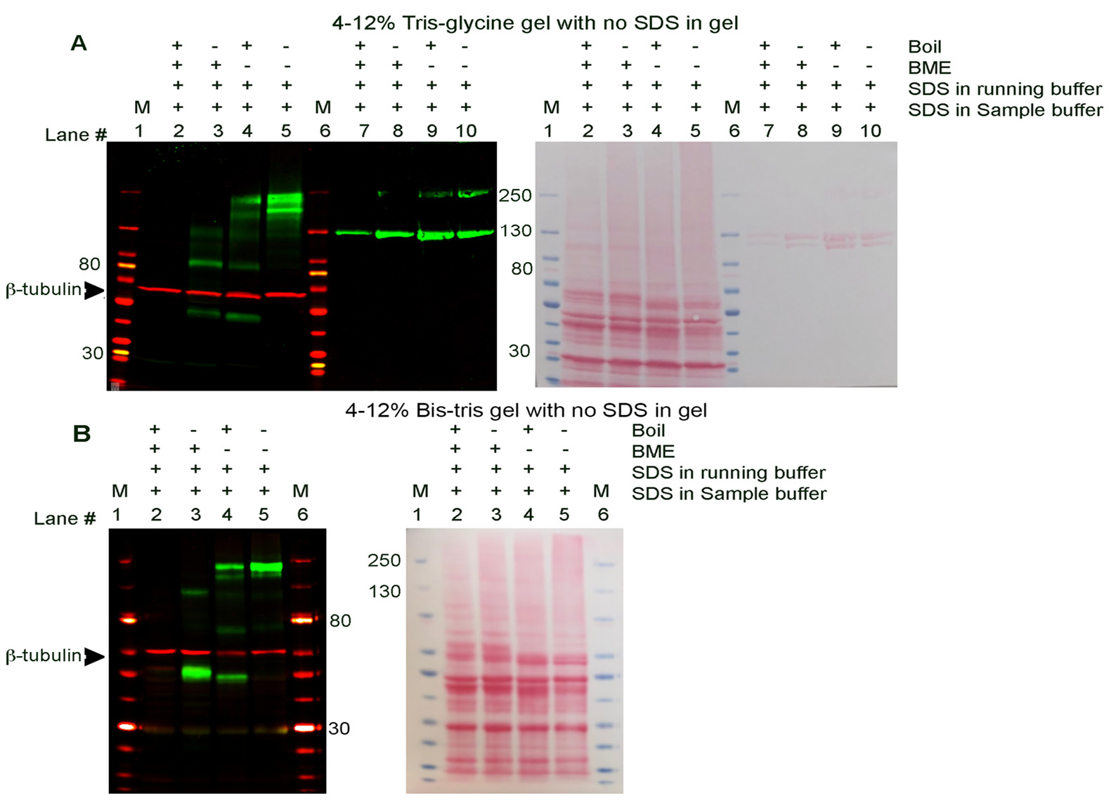
In order to improve the separation of upper molecular weight procollagen bands (~130 and above), we next used 4%–12% Tris-glycine gels without SDS, yet again included SDS in the sample and running buffers (
Fig. 4A). As shown earlier, boiling and BME exposure lead to a loss of detection of any bands in muscle lysates (
Fig. 4A, lane 2). Exposure of these muscle lysates to either BME or boiling, as done for lanes 3 and 4, respectively, lead to increased collagen cleavage products at ~50 kDa and ~80 kDa. The unboiled, yet BME exposed, muscle lysate in lane 3 showed a faint band at ~130 kDa (mature collagen a1(I)) that was quite detectable in all purified rat tail collagen samples (lanes 7–10). Elimination of BME from muscle lysate preparation for lanes 4 and 5 increased the ability to detect procollagen bands above ~130 kDa, again matching prior findings that collagen precursors are best visualized in lysates exposed to non-reducing conditions [
7,
14]. Conditions of lane 5 (no boiling and no BME) allowed detection of not only the ~250 kDa, but also two procollagen bands at ~180 kDa bands. The acid purified rat tail collagen proteins of lanes 7–10 lacked the cleaved mature collagen bands seen in muscle lysates in lanes 3 and 4. Structural differences can be introduced with different purification/extraction methods that are reported to alter antibody binding affinities [
15].
Figure 2. Native and modified native western blot results for rat lysates on varying percent Tris-glycine gels. Hindlimb soleus muscle lysates were treated with or without boiling, and with or without BME, prior to being run on 8%, 6% or 4%–12% Tris-glycine gels with no SDS in the gels, running or sample buffers (2× native sample buffer used). Left blots were probed with anti-collagen type 1 antibodies. Right blots show Ponceau red staining of membranes prior to antibody probing. Blots are probed with a Sigma #C2456 anti-collagen 1 antibody. A. 8% Tris-glycine gels with no SDS in gel or buffers. Lane 1: Muscle lysate boiled without BME. Lane 2: Muscle lysate that is unboiled and without BME. Lane 3: HiMark unstained protein standard as the marker (M). Lane 4: IBright prestained protein ladder. B. 8% Tris-glycine gels with no SDS in gel or buffers. Lane 1: IBright marker. Lanes 2 & 3: Unboiled muscle lysates without BME. Lane 4: IBright marker. C. 4%–12% Tris-glycine gels with no SDS in gel or buffers. Lanes 1 and 6: HiMark unstained protein standard as the marker (M). Lane 2: Muscle lysate boiled with BME. Lane 3: Unboiled muscle lysate with BME. Lane 4: Muscle lysate boiled without BME. Lane 4: Unboiled muscle lysate without BME. Gels and blots with no exposure to SDS were repeated 3–4 times per gel type, using the same conditions, achieving similar results.
Results were similar but less robust in 4%–12% bis-Tris gel without SDS gels (contain SDS in the sample and running buffers) (Fig. 4B). Again, both boiling and BME exposure eliminated antibody detection (lane 2). Either boiling or BME (but not both together) increased detection of mature (~130 kDa, lane 3) and procollagens (above 130 kDa, lane 4), but increased cleavage products at ~50 kDa in each lane. Eliminating BME allowed resolution and detection of two procollagen bands (~180–250; Fig. 4B, lanes 4 and 5). However, as before, more procollagen was detected in unboiled muscle lysates than in boiled samples, each not exposed to BME (Fig. 4B, lane 5 vs. lane 4, respectively).
Lastly, to determine if we could enrich collagen 1 in samples before immunoblotting, purified rat tail collagen protein samples (PP) and muscle lysates (ML) were immunoprecipitated (IP) using either polyclonal or monoclonal anti-collagen type 1 antibodies to create the immune complex before elution. Figure 5A shows the results for which a sample-buffer elution method was used. For this, the spin column containing the resin and sample/antibody complex was placed into a new collection tube and sample buffer with BME was added. The column with the sample immune complex was denatured by boiling and then centrifuged to collect the eluant. Samples were then run on 4%–12% Tris-glycine gels without SDS. Purified rat tail collagen protein that did not undergo IP was loaded into lane 2 (after similar exposure to BME and boiling) and showed a clear mature collagen band at ~130 kDa (matching results from Fig. 4A, lane 7). However, the muscle lysate in lane 3 that did not undergo IP showed an absence of this ~130 band (matching boiled + BME lysate results from Fig. 4A, lane 2). No bands were detected in the negative control lanes 4 and 5 (run on the columns without capturing primary antibodies). IP with a polyclonal anti-rat collagen antibody followed by immunoblotting and probing with Sigma #C2456 anti-mouse collagen antibody did not enrich the purified rat tail protein (lane 6), but did show enrichment of mature collagen (~130 kDa) in the muscle lysate (lane 7). In contrast, IP with the Sigma #C2456 anti-mouse collagen antibody followed by immunoblotting and probing with a polyclonal anti-rat collagen antibody shows non-specific staining only.
Figure 3. Western blot of rat muscle lysates and purified rat tail collagen type 1 protein run under varying conditions on 8% gels without (A) or with SDS (B) in the gel, yet with SDS in sample and loading buffers. Hindlimb soleus muscle lysates (Lanes 2–5) and purified rat tail collagen type 1 (Lanes 7–10) treated with or without boiling, and with or without BME, as shown. Left blots were probed with Sigma C 2456 anti-collagen type 1. Right blots show Ponceau red staining of membranes prior to antibody probing. A. Results for an 8% tris-glycine gel without SDS, yet with SDS in the sample and running buffers. Lane 1: iBright prestained protein ladder as the marker (M). Lane 2: Muscle lysate boiled with BME. Lane 3: Unboiled muscle lysate with BME. Lane 4: Muscle lysate boiled without BME. Lane 5: Unboiled muscle lysate without BME. Lane 6: iBright prestained protein ladder (M). Lane 7: Purified rat tail protein (Gibco A10483-01) boiled with BME. Lane 8: Unboiled purified rat tail protein with BME. Lane 9: Purified rat tail protein boiled without BME. Lane 10: Unboiled purified rat tail protein without BME. Similar 8% gels with no SDS in the gel, yet with SDS in buffers, and subsequent blots, were repeated four times, achieving similar results. B and C. Results for an 8% Tris-glycine gel with SDS, and with SDS in the buffers. Lanes 1–10 were loaded as for panel (A). Similar 8% gels with SDS in the gel and buffer, and subsequent blots, were repeated four times, achieving similar results. b-tubulin was used as a loading control (red bands at ~55 kDa) as was ponceau red staining.
Figure 4. Western blot of rat muscle lysates and purified rat tail collagen type 1 protein run under varying conditions on 4%–12% Tris-glycine gels (A) or 4%–12% Bis-tris gels (B) without SDS, yet with SDS in sample and loading buffers. Hindlimb soleus muscle lysates (Lanes 2–5) and purified rat tail collagen type 1 (Lanes 7–10) treated with varying combinations as shown. Left blots were probed with Sigma C 2456 anti-collagen type 1. Right blots show Ponceau red staining of membranes prior to antibody probing. A. Results for a 4%–12% Tris-glycine gel without SDS, yet with SDS in the sample and running buffers. Lane 1: iBright prestained protein ladder as the marker (M). Lane 2: Muscle lysate boiled with BME. Lane 3: Unboiled muscle lysate with BME. Lane 4: Muscle lysate boiled without BME. Lane 5: Unboiled muscle lysate without BME. Lane 6: iBright prestained protein ladder (M). Lane 7: Purified rat tail protein (Gibco A10483-01) boiled with BME. Lane 8: Unboiled purified rat tail protein with BME. Lane 9: Purified rat tail protein boiled without BME. Lane 10: Unboiled purified rat tail protein without BME. Similar gels and subsequent blots were repeated six times, achieving similar results. B. Results for a 4%–12% Bis-Tris gel without SDS, yet with SDS in the sample and running buffers. Lanes 1–6 were loaded as described for panel (A). Similar gels and subsequent blots were repeated four times, achieving similar results. b-tubulin was used as a loading control (red bands at ~55 kDa) as was ponceau red staining.
The IP experiments were repeated using low-pH elution methods instead (Fig. 5B). For these, purified rat tail protein and muscle lysates were boiled yet not exposed to BME before running on 4%–12% Tris-glycine gels without SDS. Purified rat tail and muscle lysate samples that did not undergo IP (Fig. 5B, lanes 2 and 3), showed mature and procollagen bands of ~130 kDa and ~250 kDa, respectively, while the muscle lysates showed the mature ~130 kDa collagen band, several procollagen bands, and a cleavage ~80 kDa product, the latter similar to Figure 4A, lanes 4 and 9. Negative controls in lanes 4 and 5, run over the column with no capturing antibodies, showed an absence of staining. IP did not enrich any collagen in the purified rat tail collagen protein sample (lane 6). However, a clear enrichment of two high molecular weight procollagens (now ~240 kDa) was seen in the muscle lysate that underwent IP with an polyclonal anti-rat collagen antibody followed by immunoblotting and probing with Sigma #C2456 anti-mouse collagen antibody (lane 7). IP of each sample type with the Sigma #C2456 anti-mouse collagen antibody followed by immunoblotting and probing with a polyclonal anti-rat collagen antibody showed similar enrichment of the ~250 kDa band in both sample types (Fig. 5B, lanes 9 and 10). For the other two conditions, Boil/No BME and No Boil/No BME, no enrichment was detected using either elution method (data not shown).
As summarized in Table 2, the best resolution of type 1 procollagens is achieved using 4%–12% Tris-glycine gels without the presence of SDS in the gel itself, although SDS in the running and sample buffers are needed. Also, BME must not be added to the sample buffer and samples should not be boiled. For characterization of mature collagen a1(I), gradient type gels without SDS were best, yet SDS included in both running and sample buffers, BME must be added to the sample buffer, and samples should not be boiled. Boiling is to be avoided as the antigen site recognized by the monoclonal antibody used is sensitive to thermal denaturation, as is the case with many monoclonal antibodies available on the market.
TROUBLESHOOTING
Many problems can occur when performing Western blotting. Listed in Table 3 are possible troubleshooting explanations and solutions one can use.
Figure 5. Western blot of rat skeletal muscle lysates and purified rat tail collagen type 1 protein after immunoprecipitation (IP) of immune complex using sample-buffer elution method (A) or low-pH elution method (B). Immunoprecipitation elutions of hindlimb soleus muscle lysates (ML; 1 µl/lane, Lanes 5, 7 and 10) and purified rat tail collagen type 1 protein (PP; 1µL/lane, Lanes 4, 6, and 9). Left blots were probed with anti-collagen type 1 antibodies. Right blots show Ponceau red staining of membranes prior to antibody probing. For each repeat, 4%–12% Tris-glycine gels were used. A. A sample-buffer elution method was used to recover the immune complex (a 2× reducing sample buffer with BME was added to Protein A/B Plus Agarose resin that was then boiled before centrifugation to remove the eluate). Lanes 1 and 8: iBright prestained protein ladder as the marker (M). Lanes 2 and 3: PP and ML samples were loaded onto the gels without first undergoing IP. The membrane portion with these lanes was probed with Sigma C 2456 anti-mouse collagen type 1. Lanes 4 and 5: As a negative control step, PP and ML were added to the column without addition of any antibody (i.e., no IP). Samples were collected as flow-through. After western blotting, the membrane portion with these lanes was probed with the Sigma C 2456 antibody. Lanes 6 and 7: Samples were immunoprecipitated with Abcam Ab34710 anti-rabbit collagen type 1. After western blotting, membrane portion with these lanes was probed with the Sigma C 2456 antibody. Lanes 8 and 9: Samples were immunoprecipitated with the Sigma C 2456 antibody. After western blotting, membrane portion with these lanes was probed with the Abcam Ab34710 antibody. B. A low-pH elution method was used to recover the immune complex in this set of experiments. Lanes 1–10 were loaded as described above.
Table 2. Optimal conditions for visualization of various collagen type 1 bands in skeletal muscle.
|
Collagen type 1
Disulfide bonded collagen 1/Intact triple helix
(~250 + kDa)
|
- 4%–12% Tris-glycine gel
- No SDS in gel
- Not boiled
- No BME
- No SDS in Tris-glycine running buffer
- No SDS in sample buffer
|
|
Procollagen I subtypes
(~180 to 200 kDa)
|
- 4%–12% tris-glycine gel
- No SDS in gel
- Best not boiled
- No BME
- SDS in Tris-glycine running buffer
- SDS in 4× Laemmli sample buffer
|
|
Mature collagen α1 (I)
(~130 kDa)
|
- If a 4%–12% Tris-glycine gel
- No SDS in gel
- Boiling optional
- BME
- SDS in Tris-glycine running buffer
- SDS in 4× Laemmli sample buffer
|
|
Mature collagen α1 (I)
(~130 kDa)
|
- If a 4%–12% bis-Tris gel
- No SDS in gel
- Not boiled
- BME
- SDS in Tris-glycine running buffer
- SDS in 4× Laemmli sample buffer
|
Table 3. Troubleshooting table.
|
|
|
|
|
No signal
|
Concentration of the primary or secondary antibody is too weak
|
Use a higher concentration of primary antibody—success has been demonstrated with Sigma #C 2456 at a dilution ratio of 1:1000–1:2000
|
|
|
Insufficient antigen
|
This protocol recommends loading 20 μg of total protein per well, but up to 30 μg should work; if collagen bands still do not present, it is possible that the tissue itself does not contain substantial amounts of collagen
|
|
|
Poor transfer of collagen to nitrocellulose membrane
|
A longer transfer with a lower voltage can be used
|
|
High background
|
Insufficient blocking of membrane
|
Optimal blocking of non-specific binding was demonstrated using 5% BSA in TBST, but goat milk serum may also be used
|
|
|
Primary antibody concentration was too high
|
Decrease the dilution ratio of the antibody and incubate for longer
|
|
|
Incubation temperature is too high
|
Incubate the membrane in blocking buffer and primary antibody at 4°C
|
|
|
Secondary antibody is giving unexpected bands
|
Make sure a secondary only probing is done without primary antibody to verify that the bands are not due to secondary antibody nonspecific binding
|
|
|
Intensity is turned up too high on the Licor Imager
|
Reduce the intensity so that the background is reduced; if the intensity is too high background bands, spots, etc., can start to appear
|
|
White spots on the blot
|
Trapped air bubbles during transfer
|
Make sure to use a mini-blot roller to carefully remove bubbles when assembling the transfer
|
|
|
Overheating during transfer
|
Place gel tank in ice or in a coldroom for the duration of the transfer; and or reduce the voltage and increase transfer time
|
Acknowledgments
Research reported in this publication was supported the National Institute of Arthritis and Musculoskeletal and Skin Diseases (NIAMS) of the National Institutes of Health (NIH) under Award Number AR056019 to MFB. Special thanks to Dr. Oneida Arosarena for providing the immunoprecipitation kit.
References
- Abdelmagid SM, Barbe MF, Safadi FF (2014) Role of inflammation in the aging bones. Life Sci 123: 25-34. doi: 10.1016/j.lfs.2014.11.011. [View Article] [PubMed] [Google Scholar]
- Barbe MF, Hilliard BA, Delany SP, Iannarone VJ, Harris MY, et al. (2019) Blocking CCN2 Reduces Progression of Sensorimotor Declines and Fibrosis in a Rat Model of Chronic Repetitive Overuse. J Orthop Res 2019: 10-1002. doi: 10.1002/jor.24337. [View Article] [PubMed] [Google Scholar]
- Fisher PW, Zhao Y, Rico MC, Massicotte VS, Wade CK, et al. (2015) Increased CCN2, substance P and tissue fibrosis are associated with sensorimotor declines in a rat model of repetitive overuse injury. J Cell Commun Signal 9: 37-54. doi: 10.1007/s12079-015-0263-0. [View Article] [PubMed] [Google Scholar]
- Weber KT, Brilla CG, Campbell SE, Zhou G, Matsubara L, et al. (1992) Pathologic hypertrophy with fibrosis: the structural basis for myocardial failure. Blood Press 1: 75-85. doi: 10.3109/08037059209077497. [View Article] [PubMed] [Google Scholar]
- McDonald JA, Broekelmann TJ, Matheke ML, Crouch E, Koo M, et al. (1986) A monoclonal antibody to the carboxyterminal domain of procollagen type I visualizes collagen-synthesizing fibroblasts. Detection of an altered fibroblast phenotype in lungs of patients with pulmonary fibrosis. J Clin Invest 78: 1237-1244. doi: 10.1172/JCI112707. [View Article] [PubMed] [Google Scholar]
- Kadler KE (2017) Fell Muir Lecture: Collagen fibril formation in vitro and in vivo. Int J Exp Pathol 98: 4-16. doi: 10.1111/iep.12224. [View Article] [PubMed] [Google Scholar]
- Blackstock CD, Higashi Y, Sukhanov S, Shai S, Stefanovic B, et al. (2014) Insulin-like growth factor-1 increases synthesis of collagen type I via induction of the mRNA-binding protein LARP6 expression and binding to the 5' stem-loop of COL1a1 and COL1a2 mRNA. J Biol Chem 289: 7264-7274. doi: 10.1074/jbc.M113.518951. [View Article] [PubMed] [Google Scholar]
- Frara N, Fisher PW, Zhao Y, Tarr JT, Amin M, et al. (2017) Substance P increases CCN2 dependent on TGF-beta yet Collagen Type I via TGF-beta1 dependent and independent pathways in tenocytes. Connect Tissue Res 59: 30-44. doi: 10.1080/03008207.2017.1297809. [View Article] [PubMed] [Google Scholar]
- Shirachi I, Gotoh M, Mitsui Y, Yamada T, Nakama K, et al. (2011) Collagen production at the edge of ruptured rotator cuff tendon is correlated with postoperative cuff integrity. Arthroscopy 27: 1173-1179. doi: 10.1016/j.arthro.2011.03.078. [View Article] [PubMed] [Google Scholar]
- Visser J, Levett PA, te Moller NCR, Besems J, Boere KWM, et al. (2015) Crosslinkable hydrogels derived from cartilage, meniscus, and tendon tissue. Tissue Eng Part A 21: 1195-1206. doi: 10.1089/ten.TEA.2014.0362. [View Article] [PubMed] [Google Scholar]
- Silver FH, Trelstad RL (1980) Type I collagen in solution. Structure and properties of fibril fragments. J Biol Chem 255: 9427-9433. [PubMed] [Google Scholar]
- Byers PH, Click EM, Harper E, Bornstein P (1975) Interchain disulfide bonds in procollagen are located in a large nontriple-helical COOH-terminal domain. Proc Natl Acad Sci U S A 72: 3009-3013. doi: 10.1073/pnas.72.8.3009. [View Article] [PubMed] [Google Scholar]
- Gorgieva S, Kokol V (2011) Collagen- vs. gelatine-based biomaterials and their biocompatibility: Review and perspectives. IntechOpen. doi: 10.5772/24118. [View Article]
- Seo W, Kim J, Baek D, Kim S, Kang S, et al. (2017) Production of recombinant human procollagen type I C-terminal propeptide and establishment of a sandwich ELISA for quantification. Sci Rep 7: 15946. doi: 10.1038/s41598-017-16290-9. [View Article] [PubMed] [Google Scholar]
- Nist C, Von Der Mark K, Hay ED, Olsen BR, Bornstein P, et al. (1975) Location of procollagen in chick corneal and tendon fibroblasts with ferritin-conjugated antibodies. J Cell Biol 65: 75-87. doi: 10.1083/jcb.65.1.75. [View Article] [PubMed] [Google Scholar]