Article
Optimized methodology for product recovery following emulsion PCR: applications for amplification of aptamer libraries and other complex templates
Grant C. O’Connell*, Christine G. Smothers
School of Nursing, Case Western Reserve University, Cleveland, OH 44106-4904, USA
*Corresponding author: Grant C. O’Connell, Email: grant.oconnell@case.edu
Competing interests: The authors have declared that no competing interests exist.
Received September 3, 2019; Revision received December 18, 2019; Accepted January 2, 2020; Published March 10, 2020
Abstract
Bias and background issues make efficient amplification of complex template mixes such as aptamer and genomic DNA libraries via conventional PCR methods difficult; emulsion PCR is being increasingly used in such scenarios to circumvent these problems. However, before products generated via emulsion PCR can be used in downstream workflows, they need to be recovered from the water-in-oil emulsion. Often, emulsions are broken following amplification using volatile organic solvents, and product is subsequently isolated via precipitation. Unfortunately, the use of such solvents requires the implementation of special environmental controls, and the yield and purity of DNA isolated by precipitation can be highly variable. Here, we describe the optimization of a simple protocol which can be used to recover products following emulsion PCR using a 2-butanol extraction and subsequent DNA isolation via a commercially available clean-up kit. This protocol avoids the use of volatile solvents and precipitation steps, and we demonstrate that it can be used to reliably recover DNA from water-in-oil emulsions with efficiencies as high as 90%. Furthermore, we illustrate the practical applicability of this protocol by demonstrating how it can be implemented to recover a complex random aptamer library following amplification via emulsion PCR.

Keywords: emulsion PCR; ePCR; droplet PCR; methods; aptamers; techniques
INTRODUCTION
Amplification of complex mixes of templates such as aptamer and genomic DNA libraries
via conventional PCR methods is difficult. Differences in fragment length and GC content can lead to preferential amplification of some templates over others [
1], while high rates of unintended recombination events between homologous sequences can generate high levels of artifactual products [
2]. For example, when amplifying random aptamer libraries
via conventional PCR methods, Musheev
et al. reported that a majority of the product generated is comprised of background artifacts after as few as 15 cycles [
3].
One way to address these problems is by segregating individual fragments into isolated reaction compartments through generation of a water-in-oil emulsion [
4]. This method, known as emulsion PCR (ePCR), can dramatically reduce amplification bias and background issues [
5], and is being increasingly used for amplification of aptamer libraries during systematic evolution of ligands by exponential enrichment (SELEX) experiments [
6], as well as DNA and cDNA libraries prior to next generation sequencing [
7].
Before PCR products generated
via ePCR can be used in downstream workflows, they need to be recovered from the water-in-oil emulsion. Often, emulsions are broken following amplification using volatile and highly flammable organic solvents such as diethyl ether, and product is subsequently isolated
via precipitation [
4-
6,
8,
9]. However, the use of such solvents requires the implementation of special environmental controls, and the yield and purity of DNA isolated by precipitation can be highly variable.
Schutze
et al. previously reported that water-in-oil emulsions can be broken using butanol, a relatively benign alcohol, and products recovered
via phase separation [
10]. However, no detailed methodology was reported. Thus, our aim was to develop and optimize a simple butanol extraction procedure for recovery of DNA products following ePCR. In our resultant protocol, 2-butanol is added to break emulsions, water is added to provide an aqueous medium for phase transfer, phase separation is performed
via centrifugation, and DNA is isolated from the resultant aqueous phase
via a commercially available PCR clean-up kit (
Fig. 1). Here, we describe the experimental optimization of this protocol, as well as detailed step-by-step instructions for the final version so it can be implemented by other research groups.
Figure 1. Method for recovering products following emulsion PCR using 2-butanol extraction. Following amplification, 2-butanol is added to break water-in-oil emulsions. An additional volume of water is added to provide an aqueous medium for phase transfer, and phase separation is performed via centrifugation. The resultant upper organic phase is discarded, and DNA is isolated from the lower aqueous phase using a commercially available spin column-based DNA clean-up kit.
MATERIALS AND METHODS
Conventional and emulsion PCR
For emulsion PCR, 100 μl aqueous phases containing 200 μM DNTPs (New England BioLabs, Ipswich, MA), 10 mM Tris-HCl, 50 mM KCl, 1.5 mM MgCl2 (10× Standard Taq Buffer, New England BioLabs), 2.5 Units of Taq DNA Polymerase (New England BioLabs), 0.01 mg/ml acetylated bovine serum albumin (Promega, Madison, WI), 2 μM forward primer, 2 μM reverse primer, and 109 copies of template were assembled in ultrapure H2O on ice. In a 4°C cold room, aqueous phases were mixed with 200 μl of an ice-cold oil surfactant comprised of 73% Tegosoft DEC (Evonik, Birmingham, AL), 20% light mineral oil (Sigma Aldrich, St. Louis, MO), and 5% Abil WE 09 (Evonik, Birmingham, AL) in 0.5 ml thin-wall PCR tubes for 5 min at full speed on a benchtop vortex outfitted with a tube holder to generate emulsions. Emulsified reactions were then thermal cycled for 30 cycles of 60 s at 95°C, 60 s at 55°C, and 60 s at 72°C using a thermocycler capable of accommodating 0.5 ml tubes (Ericomp PowerBlock II, Ericomp, San Diego, CA). Conventional PCR reactions were assembled and thermal cycled in an identical manner, but not emulsified in oil surfactant. Concentrations of BSA, template, and the number of thermal cycles were chosen based on preliminary titration experiments (Fig. S1-S3).
Random aptamer library was comprised of a mix of 84 base templates all containing a 40 base variable region flanked by constant 22 base priming sites (TriLink Biotechnology, San Diego, CA). It was amplified via the following primers: Forward 5’ TAGGGAAGAGAAGGACATATGAT 3’, Reverse 5’ TCAAGTGGTCATGTACTAGTCAA 3’. Anti-platelet derived growth factor aptamer template (synthesized by Invitrogen, Carlsbad, CA) contained the following 40 base binding sequence: 5’ CACAGGCTACGGCACGTAGAGCATCACCATGATCCTGTGT 3’, flanked by identical priming sites as the random aptamer library, and was amplified using the same primers.
Mock ePCR reactions
Mock ePCR reactions containing amplified anti-platelet derived growth factor aptamer were generated by emulsifying 50 or 100 μl conventional PCR reactions after thermocycling was complete using the water-in-oil emulsion technique described above.
Mock ePCR reactions containing 50 bp ladder were generated by assembling a 100 μl aqueous phase containing identical PCR reagents as true reactions along with 6 μg of ladder (New England BioLabs). Aqueous phases were emulsified using the water-in-oil emulsion technique described above.
Phase separation
One thousand microliter of 2-butanol (Acros Organics, Waltham, MA) was added to water-in-oil emulsions, and they were vortexed vigorously for 60 s. Either 250, 200, 150, or 100 μl of H20 was added, and samples were mixed for 5 min by inversion. Samples were then centrifuged for 2 min at 20000 × g to separate phases. For experiments aimed at determining aqueous phase volume, the lower aqueous phase was pipetted out from under the upper organic phase, and volume were determined by mass using an analytical balance (Mettler-Toldeo, Columbus, OH). For experiments aimed at recovery of DNA products, a majority of the upper organic phase was removed and discarded, leaving a small buffer layer of organic phase (roughly 50 μl), any interphase present, and the aqueous lower phase, from which DNA was isolated.
DNA isolation
DNA was isolated from aqueous phases following phase separation using four different commercially available PCR clean-up kits (Table 1).
For isolation using the Qiagen QIAquick Nucleotide Removal Kit (Qiagen, Germantown, MD), 1000 μl of Buffer PNI was added to the aqueous phase and mixed by vortexing for 60 s. 600 μl of sample was added to spin columns and spun at 5000 × g for 30 s to bind DNA. Flow through was discarded, and the remaining sample volume was added to the columns and spun again at 5000 × g for 30 s. Columns were then washed with 650 μl of Buffer PE by spinning for 5000 × g for 30 s. Columns were dried by spinning for an additional 3 min at 20000 × g. Columns were eluted in 100 μl of 70°C ultra-pure H2O by spinning for 1 min at 20000 × g.
For isolation using the Qiagen QIAquick Gel Extraction Kit, 300 μl of Buffer QG and 100 μl of isopropanol (Fisher Scientific, Hampton, NH) were added to the aqueous phase and mixed by vortexing for 60 s. Samples were added to spin columns and spun at 5000 × g for 30 s to bind DNA. Columns were washed with 650 μl of Buffer PE by spinning for 5000 × g for 30 s. Columns were dried by spinning for an additional 3 min at 20000 × g. Columns were eluted in 100 μl of 70°C ultra-pure H2O by spinning for 1 min at 20000 × g.
For isolation using the EURx GeneMatrix PCR Clean-up Kit (EURx, Gdansk, Poland), 400 μl of Buffer Orange DX was added to the aqeous phase and mixed by vortexing for 60 s. Samples were added to spin columns and spun at 5000 × g for 30 s to bind DNA. Columns were washed with 500 μl of Wash Buffer DX1 by spinning for 5000 × g for 30 s. Columns were washed with 650 μl of Wash Buffer DX2 by spinning for 5000 × g for 30 s. Columns were dried by spinning for an additional 3 min at 20000 × g. Columns were eluted in 100 μl of 70°C ultra-pure H2O by spinning for 1 min at 20000 × g.
For isolation using the Macherey-Nagel NucleoTraP PCR Clean-up Kit (Macherey-Nagel, Bethlehem, PA), 400 μl of Buffer NT2 was added to the aqueous phase and mixed by vortexing for 60 s. 10 μl of silica suspension was added to samples and they were incubated for 10 min at room temperature on a rotator to allow for DNA binding. Silica was washed with 400 μl of Buffer NT2, and then 400 μl of buffer NT3, by pelleting via centrifugation and resuspending by vortexing for 60s for each wash. Silica was pelleted again, dried at 37°C for 10 min, and resuspended in 100 μl of 70°C ultra-pure H2O. Samples were incubated for 10 min at room temperature on a rotator to elute DNA, silica was pelleted, and the DNA-containing H2O was collected. All centrifugation steps were performed at 10000 × g for 60 s.
Agarose gel electrophoresis and densitometry measurements
DNA products were run on either 2.0% or 2.5% agarose TAE gels cast containing 0.5 μg/ml ethidium bromide. Gels were visualized via UV light and imaged using a digital imaging system with saturation detection (Life technologies). Band intensities were quantified via imageJ v 1.51 (National Institutes of Health, Bethesda, MD). In the case of absolute quantification, the amount of DNA present in bands was determined based on direct comparison to the ladder.
Statistics
All statistics were performed using R 2.14. t-test, one-way ANOVA, or repeated measures one-way ANOVA was used for comparisons of means where appropriate. The null hypothesis was rejected when P < 0.05. In the case of multiple comparisons, P-values were adjusted via Bonferroni correction. The parameters of all statistical tests performed are outlined in detail within the figure legends.
RESULTS
Optimization of phase separation
Because most commercially available PCR clean-up kits have a limited maximum input volume, we first wanted to determine the optimal volume of water to add during phase separation in order to yield an aqueous phase volume amenable to downstream DNA isolation. To do this, 300 μl mock ePCR reactions were generated by emulsifying an aqueous phase containing all standard PCR components with an oil surfactant mix comprised of Tegosoft DEC, mineral oil, and Abil WE 09 at either a 1:2 or 1:5 aqueous to oil ratio (Fig. 2); these ratios were specifically chosen because they represent the upper and lower ends of compositions commonly used to generate emulsions for ePCR in the literature. Mock ePCR reactions were then broken via the addition of 1 ml of 2-butanol, and either 250, 200, 150, or 100 μl of water was added to provide a medium for phase transfer. Samples were mixed and then centrifuged to separate phases, and the volumes of the resultant aqueous phases were determined by weighing.
Figure 2. Generation of water-in-oil emulsions. Representative light micrograph of a Tegosoft-based water-in-oil emulsion generated with a 100 μl aqueous phase and 200 μl oil surfactant mix.
The addition of 250, 200, 150, and 100 μl of water to broken mock ePCR reactions originally generated with 1:5 aqueous to oil ratios yielded average recovered aqueous phases of 122 ± 13.5, 66.6 ± 7.4, 28.4 ± 7.5, and 0 ± 0 ul, respectively. The addition of 250, 200, 150, and 100 μl of water to broken mock ePCR reactions originally generated with 1:2 aqueous to oil ratios yielded average recovered aqueous phases of 164.1 ± 12.9, 93.1 ± 8.1, 49.7 ± 6.9, and 0 ± 0 ul, respectively (Fig. 3). Because the maximum input volume for most commercially available PCR clean up kits is 100 ul, we decided that the addition of 200 μl of water is likely suitable for most applications, as it should yield an aqueous phase volume small enough for downstream DNA isolation but still large enough to support efficient exchange of DNA during phase transfer.
Benchmarking of PCR clean-up kits
Because residual 2-butanol could cause compatibility issues during DNA isolation, we evaluated the potential suitability of four different commercially available PCR clean-up kits for recovery of products following ePCR and 2-butanol extraction. The Qiagen QIAquick Nucletide Removal Kit, Qiagen QIAquick Gel Extraction Kit, EURx geneMATRIX PCR Clean-up Kit, and Macherey-Nagel NucleoTraP PCR Clean-up Kit were selected for evaluation because they are widely available and all use different binding buffer chemistries (Table 1).
First, in order to evaluate the isolation efficiency of each kit across a broad range of potential PCR product sizes, 300 μl mock ePCR reactions were generated by emulsifying a 100 μl aqueous phase containing a 50–1300 bp DNA ladder and all standard PCR components with a 200 μl oil surfactant mix comprised of Tegosoft DEC, mineral oil, and Abil WE 09. Mock reactions were broken via the addition of 1 ml of 2-butanol, 200 μl of water was added to provide a medium for phase transfer, phase separation was achieved via centrifugation, and DNA was extracted from the resultant aqueous phases using each candidate PCR clean-up kit. Recovered DNA from each kit was electrophoresed via agarose gel, visualized, and quantified using densitometry to evaluate percent recovery.
Table 1. Commercially available DNA clean-up kits tested for recovery of products following butanol extraction.
|
|
|
|
|
Qiagen QIAquick Nucleotide Removal Kit (Kit 1)
|
Silica spin column
|
Guanidinium chloride in isopropanol
|
|
Qiagen QIAquick Gel Extraction Kit (Kit 2)
|
Silica spin column
|
Guanidine thiocyanate in Tris-HCl
|
|
EURx geneMATRIX PCR Clean-up Kit (Kit 3)
|
Silica spin column
|
Not available
|
|
Macherey-Nagel NucleoTraP PCR Clean-up Kit (Kit 4)
|
Silica slurry
|
Sodium perchlorate in Tris-HCl
|
Figure 3. Effect of added water volume on volume of aqueous phase recovered following phase separation. A. Representative images of samples following phase separation showing the effects of the initial emulsion composition and the amount of water added for phase transfer on the recovered aqueous phase volume. B. Volumes of aqueous phase recovered following phase separation across samples with two different emulsion compositions and four different amounts of water added for phase transfer. Each data point represents the mean of five replicate samples, and error bars indicate standard deviation.
All kits tested displayed some degree of ability to recover all DNA fragment sizes from 50 to 1300 bp following phase separation, however, there were differences between kits with respect to isolation efficiency. The Qiagen QIAquick Nucletide Removal Kit, Qiagen QIAquick Gel Extraction Kit, and EURx geneMATRIX PCR Clean-up Kit all displayed relatively similar recovery profiles, with average isolation efficiencies ranging from 56.4%–62.2% at 50 bp, and increasing to 69.2%–92.7% from 100–1300 bp. However, the Macherey-Nagel NucleoTraP PCR Clean-up Kit displayed significantly lower extraction efficiencies than the other kits across all fragment sizes, ranging from 13.6% at 50 bp, to 45.5% at 1300 bp (Fig. 4). Based on our results, we decided that with the exception of the Macherey-Nagel NucleoTraP PCR Clean-up Kit, any of the candidate kits tested were likely suitable for high-yield recovery of common amplicon sizes generated during PCR or various library preparation methods.
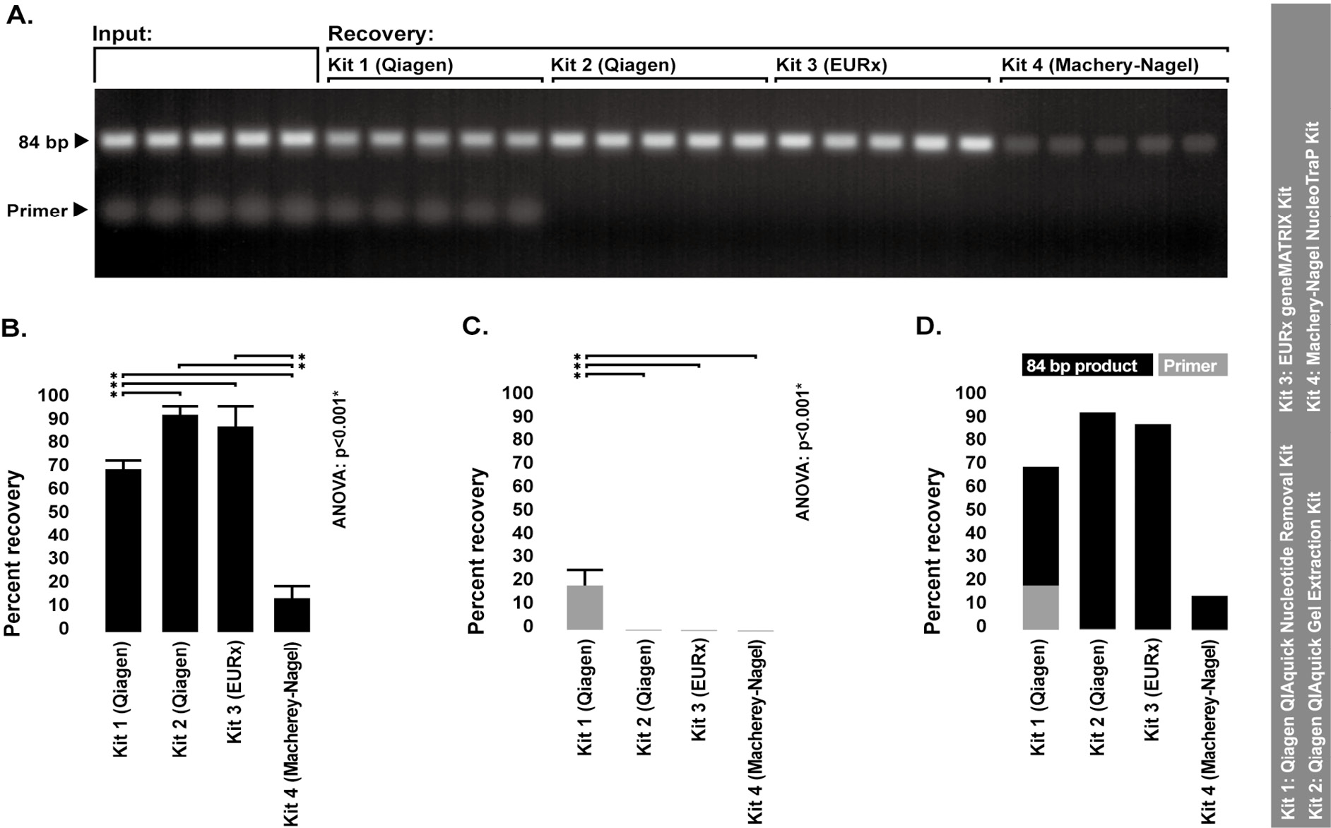
Because one of the most prevalent uses of ePCR is amplification of random aptamer libraries during SELEX, we also wanted to specifically evaluate the potential suitability of the candidate PCR clean-up kits for recovery of aptamers. Typically, aptamers range from 20–50 bases and are amplified via flanking priming sites. Thus, a kit suitable for recovery of aptamers following ePCR should be able to efficiently recover relatively short amplicons, while simultaneously excluding unincorporated primers, which can interfere with downstream workflows.
In order to test the potential ability of the four candidate PCR clean-up kits to recover aptamers following ePCR and 2-butanol extraction, 100 μl conventional PCR reactions containing an excess of primer were used to amplify an 84 base template comprised of a 40 base aptamer sequence against platelet derived growth factor [
11] flanked by 22 base priming sites. Following amplification, mock ePCR reactions were then generated by emulsifying the conventional PCR reaction mix with a 200 μl oil surfactant mix comprised of Tegosoft DEC, mineral oil, and Abil WE 09. Mock reactions were broken
via the addition of 1 ml of 2-butanol, 200 μl of water was added to provide a medium for phase transfer, phase separation was achieved
via centrifugation, and DNA was extracted from the resultant aqueous phases using each candidate PCR clean-up kit. Recovered DNA from each kit was electrophoresed
via agarose gel, visualized, and quantified using densitometry to evaluate percent recovery of both the 84 bp aptamer amplicon and excess primers.
In terms of recovery of the 84 bp aptamer amplicon, the Qiagen QIAquick Nucletide Removal Kit, Qiagen QIAquick Gel Extraction Kit, EURx geneMATRIX PCR Clean-up Kit, and Macherey-Nagel NucleoTraP PCR Clean-up Kit exhibited extraction efficiencies of 67.5% ± 1.9%, 90.2% ± 2.0%, 87.7% ± 8.1%, and 11.4% ± 2.6%, respectively. Of the four kits, the only one which retained detectable primers during isolation was the QIAquick Nucletide Removal Kit, which retained 18.1% ± 2.0% of primer (Fig. 5). Due to their demonstrated ability to recover a high yield of small product while simultaneously excluding primers, we decided that both the QIAquick Gel Extraction Kit and geneMATRIX PCR Clean-up Kit are well suited for recovery of aptamers following ePCR and 2-butanol extraction.
Figure 4. Isolation efficiencies of different commercially available clean-up kits used to recover DNA from butanol-extracted water-in-oil emulsions. A. Agarose gel electrophoresis of 50 bp ladder recovered from 2-butanol-extracted water-in-oil emulsions using four different commercially available DNA clean-up kits. Input lanes were generated by directly running non-emulsified ladder. Each lane represents DNA recovered from an independent isolation. B. Percent recovery observed with each kit across all fragment sizes, as measured using gel densitometry. Each data point represents the mean of five replicate samples, and error bars indicate standard deviation. Mean percent recovery across all fragment sizes was compared between kits using repeated measures one-way ANOVA, with subsequent post-hoc tests via Bonferroni-corrected two-tailed paired t-test. *Statistically significant.
Final protocol and application for recovery of a random aptamer library amplified using ePCR
Based on the collective results of our optimization experiments, we decided that a final protocol in which 300 μl ePCR reactions are broken with 1 ml of 2-butanol, 200 μl of water is added to provide a medium for phase transfer during phase separation, and the QIAquick Gel Extraction Kit is used to recover PCR products from the resultant aqueous phase should be adequate for a broad range of applications.
In order to test this final optimized protocol in a real use scenario, we applied it to recover an 84 base random aptamer library following true ePCR amplification. 100 μl aqueous phases were assembled containing all PCR reagents and a complex mix of 84 base templates, each comprised of a 40 base variable region with 1015 possible sequence combinations flanked by constant 22 base priming sites. Aqueous phases were emulsified with a 200 μl oil surfactant mix comprised of Tegosoft DEC, mineral oil, and Abil WE 09 to generate ePCR reactions and subsequently thermal cycled. Identical but non-emulsified 100 μl conventional PCR reactions were performed in parallel in order to evaluate the effectiveness of ePCR. Following amplification, our final 2-butanol extraction protocol was used to recover amplicons from ePCR reactions. Recovered DNA from ePCR reactions was electrophoresed along with products from conventional PCR reactions via agarose gel, visualized, and quantified using densitometry to estimate background product formation and total yield.
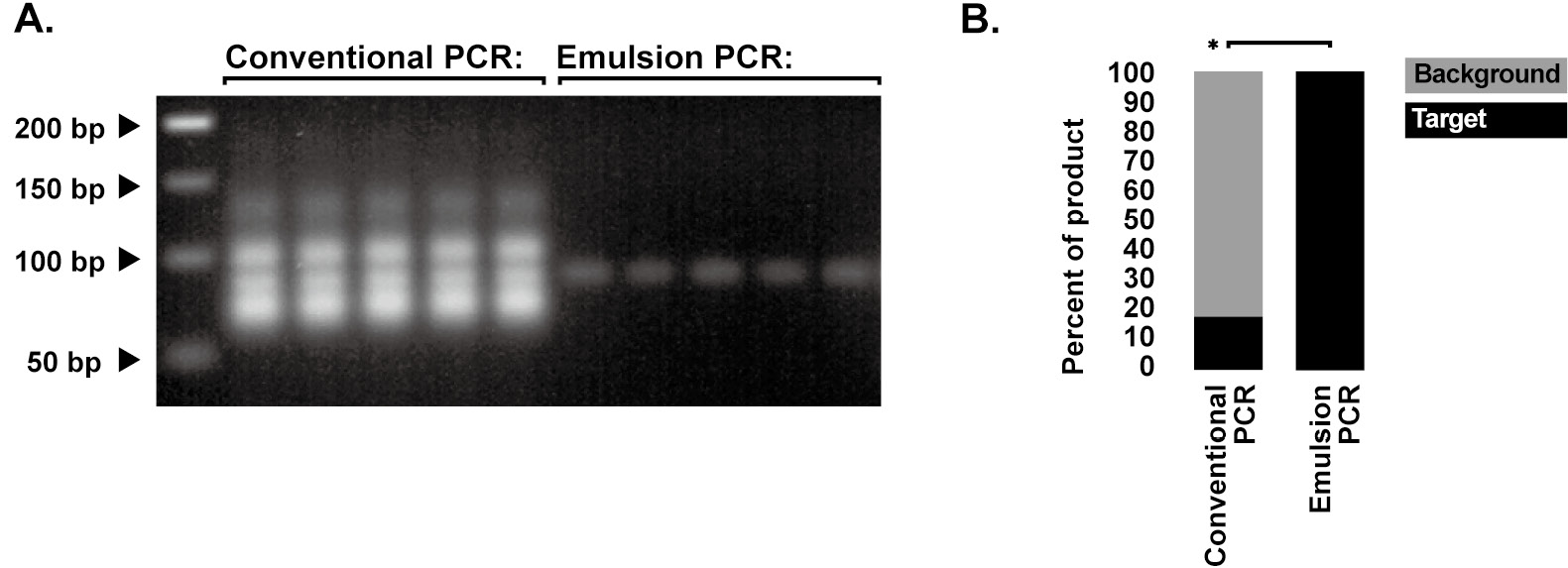
Conventional PCR reactions produced dramatically greater background product formation than ePCR reactions (Fig. 6), indicating that our water-in-oil emulsions were stable and effective in limiting recombinatory events between different templates. On average, our final 2-butanol extraction protocol recovered 523.5 ± 75.3 μg of product per reaction. This yield is more than adequate for common downstream procedures such as ligation reactions, sequencing, or binding assays.
Detailed step-by-step instructions for assembly of ePCR reactions and recovery of products using our final butanol extraction protocol are outlined in the Supplementary Protocol included with the online supplementary material (Prot. S1).
Figure 5. Ability of different commercially available clean-up kits to selectively exclude primers and recover small aptamer products when isolating DNA from butanol-extracted water-in-oil emulsions. A. Agarose gel electrophoresis of 84 bp aptamer amplicon and primer recovered from 2-butanol-extracted water-in-oil emulsions using four different commercially available DNA clean-up kits. Input lanes were generated by directly running non-emulsified amplicon-primer mixes. Each lane represents DNA recovered from an independent isolation. B. Percent recovery of 84 bp amplicon observed with each kit, as measured using gel densitometry. C. Percent recovery of primer observed with each kit, as measured using gel densitometry. D. Ratio of amplicon to primer recovered with each kit. All data points represent the mean of five replicate samples and error bars indicate standard deviation. Comparison of means was performed via one-way ANOVA, with subsequent post-hoc tests via Bonferroni-corrected two-sample two-tailed t-test. *Statistically significant.
Figure 6. Comparison of products generated via amplification of a random aptamer library using conventional PCR and emulsion PCR. A. Agarose gel electrophoresis of products recovered using our 2-butanol extraction protocol following ePCR amplification of an 84 base random aptamer library alongside products generated via conventional PCR. Each lane represents product recovered from an independent ePCR reaction. B. The ratio of recovered target product to recovered background product from ePCR reactions compared to the ratio of target product to background generated product in conventional PCR reactions, as measured using gel densitometry. Average ratios from five replicate reactions were compared using two-tailed two-sample t-test. *Statistically significant.
DISCUSSION
Emulsion PCR is being increasingly employed to amplify complex mixes of templates such as aptamer and genomic DNA libraries during SELEX and next generation sequencing workflows. Traditional methods for recovery of DNA products following ePCR typically employ volatile and highly flammable organic solvents such as diethyl ether, and involve tedious precipitation steps which are prone to inconsistent yields. Here, we optimized a simple 2-butanol extraction protocol which can be used to reliably recover high yields of product following ePCR without the use of volatile solvents and precipitation steps.
We believe that the final protocol which we developed here should be suitable for recovery of products following a wide range of ePCR applications; it is flexible and could be easily modified to meets the needs of specific experimental workflows. For example, the amount of water added during phase separation can be adjusted up or down to yield an aqueous phase volume best suited for application-specific DNA isolation procedures. Furthermore, while we selected the Qiagen QIAquick Gel Extraction Kit for use in our final protocol, other commercially available kits could be used to isolate DNA following phase separation depending on the precise properties of the target PCR product. However, it is important to note that all kits may not exhibit optimal performance in this particular use scenario. For example, the Macherey-Nagel NucleoTraP PCR Clean-up Kit performed significantly worse than the other three kits which we evaluated. This could have been due to incompatibility of residual 2-butanol left over following phase separation with the binding buffer; the binding buffer of the NucleoTraP kit contains sodium perchlorate, which can be insoluble in butanol depending on the concentration [
12]. Thus, to avoid similar issues, kits which contain sodium perchlorate in the extraction buffers may want to be avoided.
It is important to note that the protocol which we describe here was optimized using water-in-oil emulsions generated with an oil-surfactant mix comprised of mineral oil, Tegosoft, and Abil WE 09; it is possible that certain aspects of this protocol would have to be adjusted for use in recovery of DNA products from ePCR reactions constructed using other oil-surfactant mixes. Due to their ease of assembly and superior stability [
8], Tegosoft-based emulsions are being used with increased frequency [
10,
13-
16]. However, oil surfactant mixes composed of various combinations of mineral oil, Triton X-100, Span-80, and Tween-80 are still used in many laboratories. Due to the high degree of molecular similarity between 2-butanol and diethyl ether, 2-butanol will break emulsions generated with other oil-surfactant mixes that have traditionally been broken with ether-based protocols, and prior studies have reported the use of 2-butanol to break emulsions generated with numerous other commonly used oil-surfactant mixes [
17-
19]. However, if using our protocol to recover products from emulsions generated with a different oil-surfactant mix, the amount of water added during phase separation to yield a desirable amount of aqueous phase may differ slightly from what we have reported here and should be empirically determined.
It is also important to note that because we did not directly compare the 2-butanol extraction protocol which we developed to traditional diethyl ether extraction, we cannot definitively say it is superior in terms of product recovery. However, because the extraction efficiencies we observed using our protocol were consistently over 90%, if traditional methods display any advantages in extraction efficiency, they would only be marginal. The improved safety and ease of use associated with this 2-butanol protocol far outweigh any marginal differences in extraction efficiency, if they exist.
Collectively, our results demonstrate that our optimized butanol extraction protocol can be implemented to reliably recover high yields of DNA products from water-in-oil emulsions following ePCR without the use of volatile solvents and tedious precipitation steps. The detailed instructions provided should make this protocol easy to implement for product recovery in a variety of ePCR workflows.
Acknowledgments
The authors would like to thank the members of Darrah lab at Case Western Reserve University for providing general technical support and critical review of the manuscript. Work was funded via Case Western Reserve University FPB School of Nursing start-up funds issued to GCO, as well as a Case Western Reserve University SOURCE Scholarship issued to CGS.
References
- Polz MF, Cavanaugh CM (1998) Bias in template-to-product ratios in multitemplate PCR. Appl Environ Microbiol 64: 3724-3730. doi: 10.1128/AEM.64.10.3724-3730.1998. [View Article] [PubMed] [Google Scholar]
- Meyerhans A, Vartanian JP, Wain-Hobson S (1990) DNA recombination during PCR. Nucleic Acids Res 18: 1687-1691. doi: 10.1093/nar/18.7.1687. [View Article] [PubMed] [Google Scholar]
- Gorobiĭ VD (1991) [Fibromyxomatous hyperplasia of the heart valves as a manifestation of intrauterine carditis]. Arkh Patol 53: 60-62. doi: 10.1016/j.aca.2005.09.069. [View Article] [PubMed] [Google Scholar]
- Tawfik DS, Griffiths AD (1998) Man-made cell-like compartments for molecular evolution. Nat Biotechnol 16: 652-656. doi: 10.1038/nbt0798-652. [View Article] [PubMed] [Google Scholar]
- Williams R, Peisajovich SG, Miller OJ, Magdassi S, Tawfik DS, et al. (2006) Amplification of complex gene libraries by emulsion PCR. Nat Methods 3: 545-550. doi: 10.1038/nmeth896. [View Article] [PubMed] [Google Scholar]
- Shao K, Ding W, Wang F, Li H, Ma D, et al. (2011) Emulsion PCR: a high efficient way of PCR amplification of random DNA libraries in aptamer selection. PLoS One 6: doi: 10.1371/journal.pone.0024910. [View Article] [PubMed] [Google Scholar]
- Kanagal-Shamanna R (2016) Emulsion PCR: Techniques and Applications. Methods Mol Biol 1392: 33-42. doi: 10.1007/978-1-4939-3360-0_4. [View Article] [PubMed] [Google Scholar]
- Witt M, Phung NL, Stalke A, Walter JG, Stahl F, et al. (2017) Comparing two conventional methods of emulsion PCR and optimizing of Tegosoft-based emulsion PCR. Eng Life Sci 17: 953-958. doi: 10.1002/elsc.201700047. [View Article][Google Scholar]
- Schaerli Y, Wootton RC, Robinson T, Stein V, Dunsby C, et al. (2009) Continuous-flow polymerase chain reaction of single-copy DNA in microfluidic microdroplets. Anal Chem 81: 302-306. doi: 10.1021/ac802038c. [View Article] [PubMed] [Google Scholar]
- Schütze T, Rubelt F, Repkow J, Greiner N, Erdmann VA, et al. (2010) A streamlined protocol for emulsion polymerase chain reaction and subsequent purification. Anal Biochem 410: 155-157. doi: 10.1016/j.ab.2010.11.029. [View Article] [PubMed] [Google Scholar]
- Green LS, Jellinek D, Jenison R, Ostman A, Heldin CH, et al. (1996) Inhibitory DNA ligands to platelet-derived growth factor B-chain. Biochemistry 35: 14413-14424. doi: 10.1021/bi961544+. [View Article] [PubMed] [Google Scholar]
- Willard HH, Smith GF (1923) The perchlorates of the alkali and alkaline earth metals and ammonium. Their solubility in water and other solvents. J Am Chem Soc 45: 286-297. 1. J. Am. Chem. Soc 45: 286-297. doi: 10.1021/ja01655a004. [View Article][Google Scholar]
- Abil Z, Ellefson JW, Gollihar JD, Watkins E, Ellington AD (2017) Compartmentalized partnered replication for the directed evolution of genetic parts and circuits. Nat Protoc 12: 2493-2512. doi: 10.1038/nprot.2017.119. [View Article] [PubMed] [Google Scholar]
- Boulanger J, Muresan L, Tiemann-Boege I (2012) Massively parallel haplotyping on microscopic beads for the high-throughput phase analysis of single molecules. PLoS One 7: doi: 10.1371/journal.pone.0036064. [View Article] [PubMed] [Google Scholar]
- Diehl F, Li M, He Y, Kinzler KW, Vogelstein B, et al. (2006) BEAMing: single-molecule PCR on microparticles in water-in-oil emulsions. Nat Methods 3: 551-559. doi: 10.1038/nmeth898. [View Article] [PubMed] [Google Scholar]
- Chen WW, Balaj L, Liau LM, Samuels ML, Kotsopoulos SK, et al. (2013) BEAMing and Droplet Digital PCR Analysis of Mutant IDH1 mRNA in Glioma Patient Serum and Cerebrospinal Fluid Extracellular Vesicles. Mol Ther Nucleic Acids 2: doi: 10.1038/mtna.2013.28. [View Article] [PubMed] [Google Scholar]
- Castellanos-Rizaldos E, Milbury CA, Makrigiorgos GM (2012) Enrichment of mutations in multiple DNA sequences using COLD-PCR in emulsion. PLoS One 7: doi: 10.1371/journal.pone.0051362. [View Article] [PubMed] [Google Scholar]
- Wang Y, Lu J, Yang Q, Bai Y, Ge Q (2011) An emulsion based microarray method to detect the toxin genes of toxin-producing organisms. Molecules 16: 7365-7376. doi: 10.3390/molecules16097365. [View Article] [PubMed] [Google Scholar]
- Lu J, Zhang X, Zhang R, Ge Q (2015) MicroRNA heterogeneity in endometrial cancer cell lines revealed by deep sequencing. Oncol Lett 10: 3457-3465. doi: 10.3892/ol.2015.3776. [View Article] [PubMed] [Google Scholar]
Supplementary information
Protocol S1. Detailed protocol for ePCR and recovery of products using butanol extraction.
Figure S1. Determination of optimal BSA concentration.
Figure S2. Determination of optimal template concentration.
Figure S3. Determination of optimal cycle number.
Supplementary information of this article can be found online at https://www.jbmethods.org/jbm/rt/suppFiles/316.