Download
Article

A reliable protocol for the stable transformation of non-embryogenic cells cultures of grapevine (Vitis vinifera L.) and Taxus x media

Ascensión Martínez-Márquez1, Jaime Morante-Carriel1,2, Karla Ramírez-Estrada3, Rosa M. Cusidó3, Susana Sellés-Marchart1,4, Javier Palazon3, Maria Angeles Pedreño5, Roque Bru-Martínez1*
1Plant Proteomics and Functional Genomics Group, Department of Agrochemistry and Biochemistry, Faculty of Science, University of Alicante, Alicante, Spain. 2Biotecnology and Molecular Biology Group, Quevedo State Technical University, Quevedo, Ecuador. 3Laboratory of Plant Physiology, Faculty of Pharmacy, University of Barcelona, Joan XXIII sn, E-08028 Barcelona, Spain. 4Research Technical Facility, Proteomics and Genomics Division, University of Alicante, Alicante, Spain. 5Plant Peroxidases Group, Department of Plant Physiology, University of Murcia, Murcia, Spain
*Corresponding author: Dr. Roque Bru-Martinez, Grupo de Proteómica y Genómica Funcional de Plantas, Departamento de Agroquímica y Bioquímica. Facultad de Ciencias. Universidad de Alicante, Ctra. San Vicente del Raspeig s/n. E-03080 Alicante. SPAIN, Email: roque.bru@ua.es. Tel and Fax: +34 965 903400
Competing interests: The authors have declared that no competing interests exist.
Received March 12, 2015; Revision received June 8, 2015; Accepted June 8, 2015; Published June 24, 2015
Abstract One of the major intent of metabolic engineering in cell culture systems is to increase yields of secondary metabolites. Efficient transformation methods are a priority to successfully apply metabolic engineering to cell cultures of plants that produce bioactive or therapeutic compounds, such as Vitis vinifera and Taxus x media. The aim of this study was to establish a reliable method to transform non-embryogenic cell cultures of these species. The V. vinifera cv. Gamay/cv. Monastrell cell lines and Taxus x media were used for Agrobacterium-mediated transformation using the Gateway-compatible Agrobacterium sp. binary vector system for fast reliable DNA cloning. The Taxus x media and Vitis cell lines were maintained in culture for more than 4 and 15 months, respectively, with no loss of reporter gene expression or antibiotic resistance. The introduced genes had no discernible effect on cell growth, or led to extracellular accumulation of phytoalexin trans-Resveratrol (t-R) in response to elicitation with methylated cyclodextrins (MBCD) and methyl jasmonate (MeJA) in the grapevine transgenic cell lines compared to the parental control. The method described herein provides an excellent tool to exploit exponentially growing genomic resources to enhance, optimize or diversify the production of bioactive compounds generated by grapevine and yew cell cultures, and offers a better understanding of many grapevine and yew biology areas.
Graphic Abstract
Keywords: Agrobacterium system, GFP, grapevine cell culture, resveratrol, stable transformation, Taxus cell cultures

Introduction

Vitaceae phytoalexins, known as viniferins, constitute a group of molecules that belong to the stilbene family [1-3], which are derivatives of the trans-Resveratrol (t-R) structure (3,5,4′-trihydroxystilbene). These compounds accumulate in grapevine tissues in certain developmental stages [4,5] and, as a result of infection or stress, display strong antifungal activity in some cases [6]. Besides its phytoalexin activity, t-R displays bioactivity that is relevant to human health. In this way, several studies have reported the beneficial effects of modelling systems of cardiovascular disease [7], breast cancer [8], colorectal cancer [9], prostate cancer [10], inflammation and aging [11,12] and, more recently, obesity [13,14]. The therapeutic value of these compounds has stimulated the demand for nutraceutical, cosmetic and pharmaceutical uses and, consequently, has aroused an interest in finding preferably sustainable systems to produce t-R and its derivatives in large quantities.
Plant cells and tissue cultures have been increasingly used as production systems of bioactive secondary metabolites with commercial applications, such as shikonin, taxol, alkaloids or berberine [15-20]. Yet, despite extensive studies on the standardization of cell growth and the selection of high yielding cell lines, the number of cases in which secondary metabolites are commercially produced by cultured cells is relatively low. Two major strategies can be carried out to overcome this drawback: elicitation and metabolic engineering. Elicitation is an empirical approach done to stimulate cell cultures to produce secondary metabolites; for instance, grapevine cell cultures elicited with methylated cyclodextrins (MBCD) alone [21] or combined with methyl jasmonate (MeJA) [22,23] has proven an efficient system for the bioproduction of t-R, with 30% overall conversion of feeding sucrose carbon into resveratrol carbon [24]. Metabolic engineering has been currently applied to microorganisms as an alternative way for the bioproduction of t-R and analogues [25-28] due to the obvious advantages over plant cell cultures to develop transformed strains and to upscale the productive process. Yet the yield of elicited grapevine cell cultures is still unbeaten.
Metabolic engineering has the dual purpose of increasing production yields of secondary metabolites in a cell culture system and of proofreading the steps of these extended pathways, and is capable of being the most effective strategy. It has been recently demonstrated that bottlenecks in the taxol metabolic pathway are localized in the last steps of its biosynthesis, and the overexpression of the genes involved in these steps is one of the main challenges faced in the biotechnological production of this anticancer compound [29]. Highly productive elicited grapevine cell cultures can be further improved during production through metabolic engineering, and also used as specialized strains to diversify accumulated end products.
In plant research, the “gene of interest” is frequently cloned into the binary vectors that can be used for Agrobacterium-mediated transformation [30]. Production of transgene-bearing genetic constructions is often hampered by laborious conventional cloning technology, which relies on restriction digestion and ligation. However, the Gateway-compatible Agrobacterium sp. binary vector system facilitates fast reliable DNA cloning [31]. The Gateway system has been adapted to plant transformation to facilitate the creation of vectors for large-scale overexpression, tagging and silencing [32]. Genetic engineering offers new tools for studies that address the functional characterization of genes of interest in grapevine. Several groups have published reports on the transformation of Vitis [33-40]. To date, Gollop et al. [41] have provided evidence for the stable transformation of non-embryogenic cultures (NEC). Nevertheless, the transformation success rate and long-term sustainability of the established transformed cell culture did not seem to be a crucial requirement in their study, and neither was reported. Here we describe a reliable protocol for the successful A. tumefaciens-mediated stable transformation of two V. vinifera cell lines with the GFP gene under the control of pCaMV35S. It had no detrimental effect on resveratrol productivity after 13-month stably transformed Vitis cells cultures, and provides experimental evidence for the applicability of the protocol to the transformation of NEC of Taxus x media as a relevant example of other species of interest in bioactive metabolite production.

Material and Methods

Plant material

V. vinifera L. cv. Gamay callus was kindly supplied by Drs. J. C. Pech and A. Latché (ENSA, Toulouse, France) in 1989. Vitis vinifera L. cv. Monastrell albino calli were established in 1995 as previously described [42]. These cell lines were maintained in both solid and liquid cultures in Gamborg B5 medium, as described elsewhere [21]. In the liquid culture, the grapevine cell suspension lines were routinely maintained by periodical subculturing every 14 days by adding one volume of fresh medium and distributing the diluted culture into two culture flasks. T. x media callus was established from young stems of 3–4-year-old yew trees. Longitudinally-halved stem sections were placed in such a way that the inner cut surface came into contact with the culture medium optimized for calli induction [43]. The obtained cell lines were maintained in solid cultures in the optimum growth medium, as described elsewhere [44]. Calli were routinely subcultured every 14 days. Cell viability was determined by fluorescein diacetate vital dye staining and microscopic observation [45].

Transformation reagents

A. tumefaciens strain C58C1 (pMP90) [46], which carries a binary plasmid vector system that contains green-fluorescent protein (EgfpER) reporter genes, was used for the transformation study. pK7WG2D,1 vector (Laboratory of Plant Systems Biology; Ghent University, Belgium) (Fig. 1) contains a 35S Cauliflower Mosaic Virus (CaMV) promoter/terminator and a neomycin phosphotransferase (NPTII) selectable marker in the T-DNA region of the vector.
Agrobacterium strains were made chemically competent and transformed with a binary vector by standard techniques [47].
Figure 1. T-DNA region of standard binary vector pK7WG2D,1 [72] used for transformation experiments. P35S, CaMV 35S promoter; Prol D, A. rhizogenes rolD promoter; nptII, neomycine phosphotransferase under the control of the P35S promoter; EgfpER, green fluorescent protein with the ER signal sequence under the control of the Prol D promoter; T35S, CaMV 35S terminator; LB, left border; RB, right border; DNA: short fragment (269 bp) of Taxus DNA introduced to eliminate ccdB gene from destination plasmid; attR1 and attR2, attR sites of Gateway® recombination reactions.

Transformation Protocol

Bacterial culture: A. tumefaciens that contained the desired binary plasmid was grown on solid YEB medium [48] at 28ºC for 48 h. A single colony was inoculated in 50 ml of liquid YEB medium that contained 100 mg/L rifampicin, 75 mg/L spectinomycin and 20 mg/L gentamicin, and was incubated overnight at 28ºC with shaking (180 rpm). 50 ml of YEB medium, supplemented with the same antibiotics, was inoculated with 1 ml of this 1-day-old culture and grown at 28ºC and 180 rpm until OD600 reaches around ~0.1–0.4, in accordance with Batoko et al. [49]. The bacterial medium was removed by centrifuging the entire culture at 14,000 rpm for 3–5 min. The resulting bacterial pellet was washed and suspended in 1 ml of liquid Gamborg B5 medium with 100 mg/L of acetosyringone (AS).
Plant cell preparation and infection: When starting from the solid culture, 10–12 g of Vitis or Taxus callus were transferred to a sterile Erlenmeyer flask that contained 50 ml of Gamborg B5 medium. When starting from the liquid culture, 50 ml of the 7-day-old Vitis cell suspension in Gamborg B5 were used (the Taxus cell suspension was not assayed). The liquid plant cell preparations were supplemented with 100 mg/L of AS and sonicated at 100W in an ultrasound bath (Bandelic electronic RK100) for 1 min for Monastrell and for 2 × 1 min for Gamay and Taxus. Immediately afterwards, the bacterial suspension was added. The infected culture was incubated on a shaker (110 rpm) for 30 min in the dark at 24ºC.
Co-culture and selection of transformed cells: Subsequently, suspensions were poured over a glass filter and the retained biomass was washed with cold medium. Gentle vacuum was applied to remove excess liquid medium. The biomass was drained for 5 min on sterile paper and then transferred to the solid Gamborg B5 medium which contained 100 mg/L of AS. After 2 days of co-culture at 25°C in the dark, cells were transferred to the solid Gamborg B5 medium which contained 250 mg/L of cefotaxime and 60 mg/L of paromomycin at 25°C in the dark. Periodical subcultures of the growing callus colonies were carried out at decreasing cefotaxime concentrations. After 4 months, cefotaxime was eliminated from the medium, and the transformed Vitis and Taxus cells were allowed to grow in the modified Gamborg B5 selection medium with 60 mg/L of paromomycin.

Fluorescence microscopy

Images of transformed fluorescent cells were taken by a confocal microscope (Leica TCS SP2; Leica Microsystems, Wetzlar, Germany). GFP fluorescence was viewed by excitation with a 488 nm Krypton/Argon laser using a BP 450–490 emission filter, with a pinhole diameter of 77 µm, to give an optical slice thickness < 0.9 µm. Serial optical sections were obtained at 1-µm intervals, and projections of optical sections were accomplished with the Leica confocal software. Brightness and contrast were adjusted by Adobe Photoshop 7.0.

DNA extraction, amplification and analysis

Genomic DNA was isolated from 150–300 mg of Vitis or Taxus cells using the E.Z.N.A. HP Plant DNA Mini Kit (OMEGA), according to the manufacturer`s instructions. Presence of EgfpER and absence of virB genes in Vitis transgenic callus/suspensions and Taxus transgenic callus were detected by PCR analysis, where the 5´-ATGGTGAAGACTAATCTTTTTC-3´ and 5´-TTACAGCTCGTCCTTCTTGTAC-3´ primers were used to amplify a 798-bp coding region of the EgfpER gene, and the 5´-TCGGGCACCGTCAGCTTGACG-3´ and 5´- GTTAAGAAGATCGCCTATTGT-3´ primers were used to amplify an 800-bp fragment of the virB coding region. The amplification reactions consisted of 1 cycle at 95ºC for 5 min and 30 cycles at 94ºC for 1 min, 54ºC for 1 min, 72ºC for 90 s, followed by an extension cycle of 10 min at 72ºC. The plasmid DNA used in the transformation served as a positive control, while the DNA from the non-transformed wild-type Vitis and Taxus cells was used as a negative control. PCR products were analysed by electrophoresis on 1% agarose gels.

Protein extraction and analysis

The protein extracts from Vitis callus/suspensions and Taxus callus were prepared as described by Martínez-Esteso et al. [50]. Briefly, plant material was homogenized in extraction buffer (50 mM HEPES, 0.25 M sucrose, 1% [wt/vol] PVPP, 5% glycerol, 10 mM EDTA, 10 mM Na2O5S2, 10 mM acid ascorbic, 1 mM PMSF and Sigma Protease inhibitor) at a ratio of 2 ml per gram of plant material at 4°C.
The extract was centrifuged at 10,000 × g for 10 min at 4°C. The supernatant was pelleted at 100,000 × g at 4°C for 90 min. The pellet that contained the microsomal fraction was resuspended in 0.2 M Tris-HCl at pH 7.4, 10% glycerol, 0.01% bromophenol blue and Sigma protease inhibitor at 4ºC for 2 h. The protein concentration of the samples was determined by the RC DC protein assay (BIO-RAD) based on the modified Lowry protein assay method [51].
Proteins were resolved in 12% polyacrylamide gel under native conditions in a Hoefer miniVe cell (GE Healthcare) at 200 V and 4ºC. Gels were scanned in a Typhoon 9410 variable mode laser scanner (Amersham Biosciences) with the blue laser (488 nm) as the excitation source, and emitting fluorescence (526 nm) was recorded with a short pass filter.

Elicitation of the transformed grapevine cell culture and resveratrol analysis

Cell culture handling was always performed under aseptic conditions. Elicitation was carried out as described in Bru et al. [21] in 250 ml Erlenmeyer flasks that contained a final volume of 100 ml of culture. Elicitor concentrations were 50 mM for MBCD and 100 μM for MeJA, according to previous experiments carried out in a dose-response study [23]. After 72 h, medium cultures were collected by filtration with slight vacuum. Experiments were done in duplicate. The spent medium was used to analyse t-R, as described elsewhere [22], by liquid chromatography in an Agilent 1100 series HPLC equipped with UV-vis and ESI-MS/MS ion trap detectors. For stilbenoid determination, 10 μl of the sample, after passing through an Anopore 0.2 μm filter, were injected into a Mediterranean C18 column (25 × 0.46 cm, 5 µm particle size) (Tecknokroma, Barcelona, Spain) and eluted in a gradient of solvents A (0.05% TFA) and B (0.05% TFA in methanol:acetonitrile 60:40 v/v) at the 1 ml/min flow rate. The gradient consisted of: 0 min. 22.5% B; 4 min, 35% B; 8 min, 40% B; 14 min, 65% B; 19 min, 65% B; 21 min 22.5% B; 23 min, 22.5% B. The t-R standards were purchased from ChromaDex Inc. (Irvine, California, USA). Under our chromatographic conditions, the t-R retention time was 8.4 min.

Results

Establishment of the Vitis/Taxus-transformed cell culture.

The T-DNA region of the binary plasmid used for plant cell transformation (Fig. 1) contained the NPT II gene, which codes for the neomycin phosphotransferase protein and confers resistance to aminoglycoside antibiotics [52]. The preliminary experiments, conducted to determine an appropriate selection agent, indicated that untransformed Vitis cultures are quite tolerant to kanamycin, and that cells still grew, albeit slowly, at 500 mg/L of the antibiotic (Figure S1A and S1B). In contrast, Vitis cells displayed sensitivity to paromomycin, and complete inhibition of cell growth took place at the typical selection concentration of 60 mg/L (Figure S1C and S1D). The observed insensitivity of V. vinifera NEC to kanamycin contrasted with the this antibiotic’s reported toxicity on shoot development of V. vinifera and rootstocks [53,54], or on V. vinifera embryogenic cultures [55]. However, kanamycin sensitivity has also been shown to vary according to tissue type and developmental stage [33]. Growth of Taxus cuspidata cell cultures on a solid medium that contained up to 800 mg/L kanamycin has also been reported [56]. The high proportion of non-transformed Vitis cell escapes obtained when using kanamycin as a selection agent, and the demonstrated resistance of Taxus cell cultures to kanamycin, allowed us to establish paromomycin as the selection agent for both species. Another critical point when developing a suitable transformation protocol is sonication treatment. No transformants were obtained unless cell cultures were briefly sonicated in a bath to facilitate Agrobacterium-plant cell interaction, as previously described for different tissues and plant species [57].
A. tumefaciens strain C58, which contained pK7WG2D,1 successfully transformed two lines of V. vinifera (i.e., cv. Gamay and cv. Monastrell) by starting from either callus or suspension cultures, and one line of Taxus x media by starting from callus. It was possible to detect green fluorescence by microscopic examination in these cells within 4 weeks from transformation, and GFP expression was detected in all the callus colonies of the Vitis and Taxus cells infected with Agrobacterium (data not shown). After 4 weeks on selection medium, paromomycin-resistant callus colonies were large enough to harvest the biomass and to be transferred to new plates with fresh selection medium (Fig. 2A-2C). The non-transformed material did not grow and turned brown in selection medium (Figure S2A-2C), while the transformed callus grew vigorously in selection medium (Fig. 2D-2F).
Within 3–4 months of the initial transformation, sufficient callus material was obtained to launch Vitis suspension cultures, thus rapidly growing suspensions were established. The transgenic callus and suspension cultures grown in paromomycin-containing medium showed no detectable difference in cell growth when compared to the non-transformed parent cell line grown in paromomycin-free medium. Both transgenic and non-transgenic calli were subcultured at the same frequency, and the increase in fresh biomass after 14 days of inoculating 10 g in 40 ml of fresh medium was 19.5 ± 0.4%/15.3 ± 0.4% for the transformed culture of the cv. Gamay/cv. Monastrell cultures, respectively, and 20.0 ± 1.5%/15.9 ± 1.0% for the non-transformed cv. Gamay/cv. Monastrell cultures, respectively. The Vitis transgenic cultures were maintained under continuous paromomycin selection for more than 7 months, and in paromomycin-free medium for 6 more months, with no loss in either vigour or GFP expression (Fig. 2G and 2H). The Taxus transgenic cultures were maintained under continuous paromomycin selection for more than 4 months with no loss in either vigour or GFP expression (Fig. 2I).
Estimating the transformation efficiency of non-embryogenic callus and suspension cell cultures is particularly challenging compared to the transformation of explant sources used for eventual transgenic tissue regeneration. Unlike experiments with typical explants, such as leaves or embryos, a non-embryogenic suspension/callus is composed of millions of undifferentiated cells and cell aggregates, where each cell is the potential explant. In the successful experiments described in this report, 20 and 17 transformed calli were obtained on average per 1 g of fresh weight of plated V. vinifera cv. Monastrell and cv. Gamay cells, respectively, and no differences were found between the source material (either a cell suspension or callus). Ten transformed calli were obtained per 1 g of fresh weight of plated Taxus cells. About 90–95% of the Vitis and 75% of the Taxus transformed calli were successfully maintained under continuous paromomycin selection.
Figure 2. Genetic transformation of non-embryogenic cells culture of V. vinifera cv. Gamay/cv. Monastrell and Taxus x media. A-C. Transformed callus colonies from Monastrell (A), Gamay (B) and Taxus x (C) media after 4 weeks in selection medium. D-F. Transformed callus grew vigorously in selection medium. Transformed callus from A. tumefaciens of V. vinifera cv. Monastrell/ cv. Gamay (D,E) 13 month following infection and transformed callus from Taxus x media 4 month following infection (F) are shown. G-I. Stable expression of GFP distributed throughout the endoplasmic reticulum 13 month following infection in A. tumefaciens of V. vinifera cv. Monastrell/ cv. Gamay (G,H) and 4 month following infection in Taxus x media (I). Bar of photographs G = 67 μm, H = 65 μm and I = 149.82 μm.

Molecular characterisation of the Vitis/Taxus-transformed cell culture

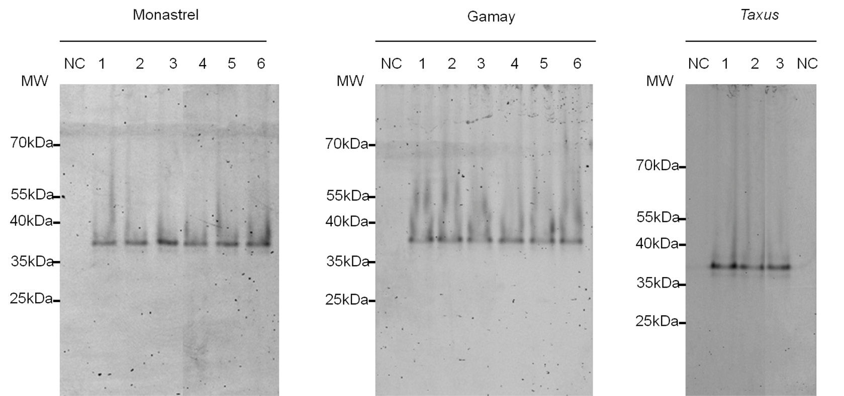
After 13 and 4 months of transformation, respectively, a randomly selected Vitis and a Taxus transgenic callus, as well as the control wild-type callus, were checked for plant genome T-DNA integration of EgfpER genes (and the eventual Agrobacterium contamination) by PCR amplification using primer pairs specific for EgfpER and virB. EgfpER was present in all the transgenic clones (Fig. 3A), but not in the wild type (Fig. 3C), whereas the virB PCR product was absent (Fig. 3B). These results confirmed that transgenic cultures were actually transformed with EgfpER and were not contaminated by Agrobacterium. In the transformed Vitis and Taxus cells that contained GFP with the ER signal sequence, green fluorescence was distributed throughout the endoplasmic reticulum (Fig. 2G-2I). Detection of GFP in the microsomal fraction from the Vitis cultures was used to assess the recombinant protein synthesis in the transgenic cultures. We were able to view active fluorescent protein bands in the 1DE native gels using suitable excitation and emission wavelengths for GFP, respectively 488 nm and 520 nm. A fluorescent band was clearly distinguished in the microsomal protein fraction (Fig. 4) of transformants Vitis and Taxus, but was absent in the non-transformed cultures.

Extracellular accumulation of stilbenoids in grapevine transformed cell cultures upon elicitation

Having established the suspension cultures of the GFP-expressing transgenic Vitis cells, stilbenoid productivity was determined. This analysis included trans- and cis-isomers of resveratrol, t-R and c-R, respectively. Our group determined that the elicitation treatments of cell suspensions V. vinifera cv.Gamay and cv. Monastrell with MBCD combined with MeJA led to major increases in t-R accumulation [22,58] because t-R was synthesised abundantly in treated cells and translocated continuously to the medium. However, treatment with MBCD+MeJA did not lead to the de novo synthesis of c-R, which was a minority metabolite compared to t-R. Figure 5 shows the amount of accumulated t-R in extracellular medium after 72 h of incubation with elicitors MBCD and MeJA, which were quantitatively determined by HPLC. t-R was found in the extracellular medium in all the transgenic Vitis cells. The abundance of t-R in the transgenic culture of cv. Monastrell and cv. Gamay was 1.13 ± 0.03 mg/ml and 2.62 ± 0.06 mg/ml, respectively. As compared to the control of cv. Monastrell and cv. Gamay, 1.12 ± 0.06 mg/ml and 2.69 ± 0.04 mg/ml, respectively, the amount of t-R did not change significantly in response to MBCD + MeJA treatment in the transgenic GFP-expressing Vitis cells. More t-R accumulated in the cv. Gamay cells culture than in cv. Monastrell. These results correlate well with those obtained by Martinez-Esteso et al. [58] and by Lijavetzky et al. [22], respectively.
Figure 3. PCR amplification products from genomic DNA of transgenic cell lines of Vitis vinifera cv. Monastrell and cv. Gamay and Taxus x media. Amplification was carried out using EgfpER and virB specific primers. A. Amplification products of EgfpER from transgenic lines of Vitis vinifera cv. Monastrell, cv. Gamay and Taxus x media. B. Amplification products of virB from transgenic lines of Vitis vinifera cv. Monastrell, cv. Gamay and Taxus x media. Lanes 1–3, templates from callus transgenic lines; lanes 4–6, templates from cell suspension transgenic lines. C. Amplification products of positive control obtained by amplification of linearized plasmid DNA of Agrobacterium and negative control using non transgenic genomic DNA of Vitis and Taxus cells. PC1 and NC1 are PCR amplification of Egfp gene; PC2 and NC2 are PCR amplification of virB gene.
Figure 4. Native-PAGE electrophoresis analysis of Vitis and Taxus transgenic cells culture protein extracts. In-gel fluorescence of GFP from transgenic cells culture established fromcallus (lane 1–3) and cell suspension (lane 4–6). Negative control (NC) using non transgenic microsomal fraction of Vitis and Taxus cells.A single band around 38 kDa corresponds to GFP is observed. 30 μg of microsomal protein fraction was loaded per lane.
Figure 5. Accumulation of t-Resveratrol by elicitor treatment of grapevine cv.Monastrell/Gamay cells in liquid culture. Content in extracellular medium in mg/ml of transgenic cell culture (1-6) and non transgenic cell culture (NT). 1–3, production t-Resveratrol from callus transgenic lines; 4–6, production t-Resveratrol from suspension transgenic lines and NT, production t-Resveratrol from non transgenic cell culture. No significantly different values are noted in the bars as a result of Kruskal–Wallis nonparametric ANOVA test with P < 0.05. Error bars represent mean ± SD of independent experiments done in duplicates.

Discussion

Genetic transformation technologies have been used to modify a wide range of crops, including field crops, vegetables and ornamentals [59-61]. However, the use of such technologies for the successful transformation of non-embryogenic cultures in general, and of grapevine and gymnosperms in particular, is limited [41,56,62,63]. We report herein the successful stable transformation of Vitis vinifera cv. Gamay /cv. Monastrell and Taxus x media. In transformation studies, selectable marker genes are introduced into the plant genome, usually with a gene of interest, to provide transformed cells with a growth advantage in order to outgrow non-transformed cells in a selection medium [64]. Establishing the selective agent and concentration is one of the most important steps. Kanamycin has been used as a selection agent in Vitis cell culture [36,37]. Here we obtained a high proportion of non-transformed escapes in Vitis when we used kanamycin as a selection agent, even at a concentration of 500 mg/L. Resistance of Taxus cell cultures to kanamycin has been demonstrated [56]. This prompted us to test paromomycin, which has also been used as a selection agent in Vitis transformed with NPTII-bearing plasmids [39]. The non-transformed escapes in Vitis and Taxus, which were frequently encountered with kanamycin selection, were eliminated by using paromomycin at a concentration of 60 mg/L, which was subsequently adopted as the selection condition.
Stably transformed Vitis and Taxus cells cultures were successfully obtained through Agrobacterium-mediated genetic transformation following the protocol described herein. A previous Vitis selection experiment was done in the presence of 1.5 mg/L of polyvinylpyrrolidone (PVP), which showed no significant difference compared to the selection done without antioxidants (data not shown). Washing the overnight Agrobacterium culture in liquid culture medium and adjusting the OD600 to 0.1 for Vitis greatly reduced the necrotic effects of Agrobacterium co-cultivation observed previously for V.vinifera [33,36,41], therefore the use of antioxidants was avoided. Taxus plant cells are difficult to manipulate in vitro [65], and the stress exerted by transformation means more difficulty [66]. The adjusted OD600 value of 0.4 for Taxus was considerably lower than the 1.3 value used in Ketchum et al. [56]. T. x media survived incubation with Agrobacterium with a slight noticeable effect, as opposed to the rapid reddening or browning observed in the cultures of T. x media or T. canadensis by Ketchum et al. [56]. Sonication-assisted Agrobacterium-mediated transformation (SAAT) [67] has been reported as an easy low-cost method to substantially enhance efficiency in low or non-susceptible plant species. In this work, cell cultures were sonicated to facilitate the Agrobacterium-plant cell interaction [68]. Further confirmation of T-DNA integration into the Vitis and Taxus genomes was demonstrated by PCR analysis (Fig. 3A), and lack of contamination by Agrobacterium (Fig. 3B) in the transgenic cultures remained under continuous paromomycin and cefotaxime-free media. Under confocal microscopy, the green fluorescence of the GFP-expressing Vitis and Taxus cells was distributed in an arborescent fashion throughout the endoplasmic reticulum. The detection of native fluorescent proteins in 1DE gels provides further experimental evidence of the synthesis of the recombinant protein in Vitis and Taxus transgenic cultures (Fig. 4).
Transformation efficiency estimates are described in this report; 20 and 17 transformed calli were obtained on average per 1 g fresh weight of plated V. vinifera cv. Monastrell and cv. Gamay cells, respectively, and no differences were found between the source material (either cell suspension or callus), and 10 transformed calli were obtained per 1 g fresh weight of plated Taxus cells. Approximately 90–95% of Vitis and 75% of Taxus transformed calli were successfully maintained under continuous paromomycin selection. This high transformation efficiency is, as far as we know, the best ever reported since previous studies provided evidence of only the expression of reporter genes, but not of transformation efficiency [41,69]. Unlike the previous work by Gollop et al [41], the work described herein: (i) provides direct evidence for absence of contamination by Agrobacterium in transgenic cultures of V. vinifera, cv Gamay; (ii) skips the need to keep the culture under continuous exposure to cefataxime, except for the first selection period; and (iii) skips the need to use antioxidants to counteract the stress of the cell culture in any stage of the transformation and selection process. Therefore, the described protocol presents a number of significant improvements over previous work.
One of the bottlenecks of making Vitis cell culture technology viable to produce t-R has been the establishment of suitable elicitation conditions [21,22,58]. Hitherto, constitutive promoters are generally used to study the effects of transgene expression in plants but, given the fact that constitutive gene expression may be harmful to the host plant, including yield penalty [70,71 and references therein], the effect of GFP constitutive expression on t-R production by elicited grapevine cell suspension was assessed. No significant influence on t-R production was detected in any of the different transgenic cell lines by comparing the introduced genes to the untransformed control when medium extracts were analysed by HPLC-MS (Fig. 5). If transgenic Vitis cell cultures are to be used for large-scale t-R production, then these cultures must grow rapidly as parental cells, and must stably express the genes of interest for the extended time required for scale-up. Transgenic cells showed no detectable difference in cell growth when compared to the untransformed parent cell line. Our results indicate that it is possible to obtain and maintain rapidly dividing transgenic Vitis cell suspension cultures, and that integrated genes do not necessarily affect growth or resveratrol productivity when compared to the parental control. Clearly based on our transformation experiments, which resulted in a stable transgenic Vitis cell line, transformation of Vitis is achievable. The establishment of transgenic cell technology in Vitis is the first step towards developing metabolic engineering of the stilbenes biosynthetic pathway to both better understand the complex pathway and to ultimately improve t-R and derivatives production. As the market price of taxanes and their derivatives is high, the design of engineered Taxus cell lines with improved taxane production capacity is the challenge faced today in plant biotechnology. This optimized protocol can encourage the implementation of metabolic engineering techniques in the production of taxanes.

Acknowledgements

This work has been supported by grants from the Spanish Ministry of Science and Innovation (BIO2011-29856-C02-01, BIO2011-29856-C02-02 and BIO2014-51861-R), European Funds for Regional Development (FEDER) and Conselleria d’Educacio, Cultura I Sport de la Generalitat Valenciana (FPA/2013/A/074). Technical advice from Dr. L. Burgos is gratefully acknowledged. J.M.C. holds a postdoctoral grant from SENESCYT-GOVERNMENT OF ECUADOR (006-IECE-SMG5-GPLR-2012).

Author contributions statements

AMM contributed to the experimental design, performed research, interpreted the data and wrote the paper. JMC and KRE contributed to the performed research. RMC, SSM, JP and MAP contributed to the experimental design and data interpretation. RBM defined the work objectives and technical approach, and contributed to the experimental design and data interpretation. This article is part of Ascensión Martínez-Márquez’s PhD thesis. All the authors read and approved the final manuscript.

References

  1. Langcake P, Pryce RJ (1977) A new class of phytoalexins from grapevines. Cell Mol Life Sci 33: 151-152. [PubMed] [Google Scholar]
  2. Langcake P, Pryce RJ (1977) Production of resveratrol and viniferins by grapevines in response to UV irradiation. Phytochem 16:1193–6. doi: 10.1016/S0031-9422(00)94358-9. [View Article][Google Scholar]
  3. Jeandet P, Douillet-Breuil A, Bessis R, Debord S, Sbaghi M, et al. (2002) Phytoalexins from the Vitaceae: biosynthesis, phytoalexin gene expression in transgenic plants, antifungal activity, and metabolism. J Agric Food Chem 50: 2731-2741. [PubMed] [Google Scholar]
  4. Pezet R, Cuenat P (1996) Resveratrol in wine: extraction from skin during fermentation and post-fermentation standing of must from Gamay grapes. Am J Enol Vitic 47: 287-90.[Google Scholar]
  5. Hall D, De Luca V (2007) Mesocarp localization of a bi-functional resveratrol/hydroxycinnamic acid glucosyltransferase of Concord grape (Vitis labrusca). Plant J 49: 579-591. doi: 10.1111/j.1365-313X.2006.02987.x. [View Article] [PubMed] [Google Scholar]
  6. Pezet R, Gindro K, Viret O, Richter H (2004) Effects of resveratrol, viniferins and pterostilbene on plasmopara viticola zoospore mobility and disease development. Vitis 43:145–8. [Google Scholar]
  7. Bradamante S, Barenghi L, Villa A (2004) Cardiovascular protective effects of resveratrol. Cardiovasc Drug Rev 22: 169-88. [PubMed] [Google Scholar]
  8. Le Corre L, Chalabi N, Delort L, Bignon Y, Bernard-Gallon DJ (2005) Resveratrol and breast cancer chemoprevention: molecular mechanisms. Mol Nutr Food Res 49: 462-471. doi: 10.1002/mnfr.200400094. [View Article] [PubMed] [Google Scholar]
  9. Wolter F, Ulrich S, Stein J (2004) Molecular mechanisms of the chemopreventive effects of resveratrol and its analogs in colorectal cancer: key role of polyamines. J Nutr 134: 3219-3222. [PubMed] [Google Scholar]
  10. Ratan HL, Steward WP, Gescher AJ, Mellon JK (2002) Resveratrol--a prostate cancer chemopreventive agent. Urol Oncol 7: 223-227. [PubMed] [Google Scholar]
  11. de la Lastra CA, Villegas I (2005) Resveratrol as an anti-inflammatory and anti-aging agent: mechanisms and clinical implications. Mol Nutr Food Res 49: 405-430. doi: 10.1002/mnfr.200500022. [View Article] [PubMed] [Google Scholar]
  12. de la Lastra CA , Villegas I (2007) Resveratrol as an antioxidant and pro-oxidant agent: mechanisms and clinical implications. Biochem Soc Trans 35: 1156-1160. doi: 10.1042/BST0351156. [View Article] [PubMed] [Google Scholar]
  13. Baur JA, Pearson KJ, Price NL, Jamieson HA, Lerin C, et al. (2006) Resveratrol improves health and survival of mice on a high-calorie diet. Nature 444: 337-342. doi: 10.1038/nature05354. [View Article] [PubMed] [Google Scholar]
  14. Kaeberlein M, Rabinovitch PS (2006) Medicine: grapes versus gluttony. Nature 444: 280-281. doi: 10.1038/nature05308. [View Article] [PubMed] [Google Scholar]
  15. Nakagawa K, Fukui H, Tabata M (1986) Hormonal regulation of berberine production in cell suspension cultures of Thalictrum minus. Plant Cell Rep 5: 69-71. doi: 10.1007/BF00269722. [View Article] [PubMed] [Google Scholar]
  16. Christen AA, Gibson DM (1991) Production of taxol or taxol-like compounds in cell culture. J. Production of taxol or taxol-like compounds in cell culture. In: United States Patent 5019504; 1991. [Google Scholar]
  17. Shimomura K, Sudo H, Saga H, Kamada H (1991) Shikonin production and secretion by hairy root cultures of Lithospermum erythrorhizon. Plant Cell Rep 10: 282-285. doi: 10.1007/BF00193142. [View Article] [PubMed] [Google Scholar]
  18. Vanisree M, ChenYue L, ShuFung L, Nalawade SM, ChienYih L, et al. (2004) Studies on the production of some important secondary metabolites from medicinal plants by plant tissue cultures. Bot Bull Acad Sin 45:1–22. [Google Scholar]
  19. Fernández-Pérez F, Almagro L, Pedreño MA, Gómez Ros LV (2012) Synergistic and cytotoxic action of indole alkaloids produced from elicited cell cultures of Catharanthus roseus. Pharm Biol 51: 304-310. doi: 10.3109/13880209.2012.722646. [View Article] [PubMed] [Google Scholar]
  20. Malik S, Cusidó RM, Mirjalili MH, Moyano E, Palazón J, et al. (2011) Production of the anticancer drug taxol in Taxus baccata suspension cultures:A review. Process Biochem 46:23–34. doi: 10.1016/j.procbio.2010.09.004. [View Article][Google Scholar]
  21. Bru R, Sellés S, Casado-Vela J, Belchí-Navarro S, Pedreño MA (2006) Modified cyclodextrins are chemically defined glucan inducers of defense responses in grapevine cell cultures. J Agric Food Chem 54: 65-71. doi: 10.1021/jf051485j. [View Article] [PubMed] [Google Scholar]
  22. Lijavetzky D, Almagro L, Belchi-Navarro S, Martínez-Zapater JM, Bru R, et al. (2008) Synergistic effect of methyljasmonate and cyclodextrin on stilbene biosynthesis pathway gene expression and resveratrol production in Monastrell grapevine cell cultures. BMC Res Notes 1: 132. doi: 10.1186/1756-0500-1-132. [View Article] [PubMed] [Google Scholar]
  23. Martinez-Esteso MJ, Sellés-Marchart S, Vera-Urbina JC, Pedreño MA, Bru-Martinez R (2009) Changes of defense proteins in the extracellular proteome of grapevine (Vitis vinifera cv. Gamay) cell cultures in response to elicitors. J Proteomics 73: 331-341. doi: 10.1016/j.jprot.2009.10.001. [View Article] [PubMed] [Google Scholar]
  24. Almagro L, Belchí-Navarro S, Sabater-Jara AB, Vera-Urbina JC, Selles-Marchart S (2013) Bioproduction of trans-resveratrol from grapevine cell cultures. In: Ramawat KG and Merillon JM, editors. Handbook of Natural Products. Heidelberg, Springer. pp 1683–1713. [Google Scholar]
  25. Lim CG, Fowler ZL, Hueller T, Schaffer S, Koffas MAG (2011) High-Yield Resveratrol Production in Engineered Escherichia coli Appl. Environ. Microbiol 77: 3451-3460. doi: 10.1128/AEM.02186-10. [View Article] [PubMed] [Google Scholar]
  26. Jeong YJ, An CH, Woo SG, Jeong HJ, Kim YM, et al. (2014) Production of pinostilbene compounds by the expression of resveratrol O-methyltransferase genes in Escherichia coli. Enzyme Microb Technol 54: 8-14. doi: 10.1016/j.enzmictec.2013.09.005. [View Article] [PubMed] [Google Scholar]
  27. Wang Y, Bhuiya MW, Zhou R, Yu O (2014) Pterostilbene production by microorganisms expressing resveratrol O-methyltransferase. Annals of Microbiol 65:817-826. doi: 10.1007/s13213-014-0922-z. [View Article][Google Scholar]
  28. Mei YZ, Liu RX, Wang DP, Wang X, Dai CC (2015) Biocatalysis and biotransformation of resveratrol in microorganisms. Biotechnol Lett 37: 9-18.[Google Scholar]
  29. Cusidó RM, Onrubia M, Sabater-Jara AB, Moyano E, Bonfill M, et al. (2014) A rational approach to improving the biotechnological production of taxanes in plant cell cultures of Taxus spp. Biotechnol Adv 32:1157-1167. [Google Scholar]
  30. Chakrabarty R, Banerjee R, Chung S, Farman M, Citovsky V, et al. (2007) PSITE vectors for stable integration or transient expression of autofluorescent protein fusions in plants: probing Nicotiana benthamiana-virus interactions. Mol Plant Microbe Interact 20: 740-750. doi: 10.1094/MPMI-20-7-0740. [View Article] [PubMed] [Google Scholar]
  31. Curtis MD, Grossniklaus U (2003) A Gateway TM cloning vector set for high-throughput functional analysis of genes in planta. Plant Physiol 133:462-469. [Google Scholar]
  32. Dubin MJ, Bowler C, Benvenuto G (2008) A modified Gateway cloning strategy for overexpressing tagged proteins in plants. Plant Methods 4:3. [Google Scholar]
  33. Perl A, Lotan O, Abu-Abied M, Holland D (1996) Establishment of an Agrobacterium-mediated transformation system for grape (Vitis vinifera L.): the role of antioxidants during grape-Agrobacterium interactions. Nat Biotechnol 14: 624-628. doi: 10.1038/nbt0596-624. [View Article] [PubMed] [Google Scholar]
  34. Vidal JR, Gomez C, Cutanda MC, Shrestha BR, Bouquet A, et al. (2010) Use of gene transfer technology for functional studies in grapevine. Aust J Grape Wine Res 16: 138-151.[Google Scholar]
  35. Jelly NS, Valat L, Walter B, Maillot P (2014) Transient expression assays in grapevine: a step towards genetic improvement. Plant Biotechnol J 12: 1231-1245. doi: 10.1111/pbi.12294. [View Article] [PubMed] [Google Scholar]
  36. Das DK, Reddy MK, Upadhyaya KC, Sopory SK (2002) An efficient leaf-disc culture method for the regeneration via somatic embryogenesis and transformation of grape (Vitis vinifera L.). Plant Cell Rep 20:999–1005. doi: 10.1007/s00299-002-0441-4. [View Article][Google Scholar]
  37. Iocco P, Franks T, Thomas MR (2001) Genetic transformation of major wine grape cultivars of Vitis vinifera L. Transgenic Res 10: 105-112. [PubMed] [Google Scholar]
  38. Dutt M, Li ZT, Dhekney SA, Gray DJ (2008) A co-transformation system to produce transgenic grapevines free of marker genes. Plant Sci 175: 201-213. doi: 10.1007/978-1-61779-558-9_17. [View Article] [PubMed] [Google Scholar]
  39. Vandelle E, Poinssot B, Wendehenne D, Bentéjac M, Alain P (2006) Integrated signaling network involving calcium, nitric oxide, and active oxygen species but not mitogen-activated protein kinases in BcPG1-elicited grapevine defenses. Mol Plant Microbe Interact 19: 429-440. doi: 10.1094/MPMI-19-0429. [View Article] [PubMed] [Google Scholar]
  40. Gago J, Grima-Pettenati J, Gallego PP (2011) Vascular-specific expression of GUS and GFP reporter genes in transgenic grapevine (Vitis vinifera L. cv. Albariño) conferred by the EgCCR promoter of Eucalyptus gunnii. Plant Physiol Biochem 49: 413-419. doi: 10.1016/j.plaphy.2011.02.005. [View Article] [PubMed] [Google Scholar]
  41. Gollop R, Even S, Colova-Tsolova V, Perl A (2002) Expression of the grape dihydroflavonol reductase gene and analysis of its promoter region. J Exp Bot 53: 1397-1409. [PubMed] [Google Scholar]
  42. Zapata JM, Calderon AA, Ros (1995) Barcelo A Peroxidase isoenzyme patterns in cell cultura derived from cotyledon, stem, leaf and fruit from grapevine (Vitis vinifera cv.Monastrell. Annals of Botany 75: 443-448. doi: 10.1006/anbo.1995.1043. [View Article][Google Scholar]
  43. Cusidó RM, Palazón J, Navia-Osorio A, Mallol A, Bonfill M, et al. (1999) Production of taxol® and baccatine III by a selected Taxus baccata callus line and its derived cell suspension culture. Plant Sci 146:101–107. doi: 10.1016/S0168-9452(99)00093-X. [View Article][Google Scholar]
  44. Cusidó RM, Palazón J, Bonfill M, Navia-Osorio A, Morales C, et al. (2002) Improved paclitaxel and baccatin III production in suspension cultures of Taxus x media. Biotechnol Prog 18:418–423. [Google Scholar]
  45. Widholm JM (1972) The use of fluorescein diacetate and phenosafranine for determining viability of cultured plant cells. Stain Technol 47: 189-194. [PubMed] [Google Scholar]
  46. Koncz C, Schell J (1986) The promoter of T,-DNA gene Scontrols the tissue-specific expression of chimaeric genes carried by a novel type of Agrobacterium binary vector. Mol Gen Genet 204: 383-396. doi: 10.1007/BF00331014. [View Article][Google Scholar]
  47. Sambrook J, Fritsch EF, Maniatis T (1989) Molecular cloning: a laboratory manual, 2nd edn. In: Molecular cloning: A laboratory manual, 2nd edn. New York: Cold Spring Harbor, New York. [Google Scholar]
  48. Maniatis T, Fritch EF, Sambrook J (1982) Molecular cloning: a laboratory manual. In: Molecular cloning: A laboratory manual. N.Y: Spring Harbor Laboratory Press, Cold Spring Harbor, New York. [Google Scholar]
  49. Batoko H, Zheng HQ, Hawes C, Moore I (2000) A Rab1 GTPase is required for transport between the endoplasmic reticulum and Golgi apparatus and for normal Golgi movement in plants. Plant Cell 12: 2201-2217. [PubMed] [Google Scholar]
  50. Martínez-Esteso MJ, Sellés-Marchart S, Lijavetzky D, Pedreño MA, Bru-Martínez R (2011) A DIGE-based quantitative proteomic analysis of grape berry flesh development and ripening reveals key events in sugar and organic acid metabolism. J Exp Bot 62: 2521-2569. doi: 10.1093/jxb/erq434. [View Article] [PubMed] [Google Scholar]
  51. Raghupathi RN, Diwan AM (1994) A protocol for protein estimation that gives a nearly constant color yield with simple proteins and nullifies the effects of four known interfering agents: microestimation of peptide groups. Anal Biochem 219: 356-359. doi: 10.1006/abio.1994.1276. [View Article] [PubMed] [Google Scholar]
  52. Yenofsky RL, Fine M, Pellow JW (1990) A mutant neomycin phosphotransferase II gene reduces the resistance of transformants to antibiotic selection pressure. Proc Natl Acad Sci U S A 87: 3435-3439. [PubMed] [Google Scholar]
  53. Colby SM, Meredith CP (1990) Kanamycin sensitivity of cultured tissues of Vitis. Plant Cell Rep 9: 237-240. doi: 10.1007/BF00232291. [View Article] [PubMed] [Google Scholar]
  54. Torregrosa L, Lopez G, Bouquet (2000) Antibiotic sensitivity of grapevine: a comparison between the effect of hygromycin and kanamycin on shoot development of transgenic 110 Richter rootstock (Vitis Berlandieri x Vitis rupestris). S Afr J Enol Vitic 21:32-39.[Google Scholar]
  55. Saporta R, De La Torre F, Segura A, Vidal JR (2014) Toxic effect of antibiotics in grapevine (Vitis vinifera 'Albariño') for embryo emergence and transgenic plant regeneration from embryogenic cell suspension. Vitis 53:89–94.[Google Scholar]
  56. Ketchum REB, Wherland L, Croteau RB (2007) Stable transformation and long-term maintenance of transgenic Taxus cell suspension cultures. Plant Cell Rep 26: 1025-1033. doi: 10.1007/s00299-007-0323-x. [View Article] [PubMed] [Google Scholar]
  57. Trick HN, Finer JJ (1997) SAAT: sonication-assisted Agrobacterium mediated transformation. Transgenic Res 6: 329-336.[Google Scholar]
  58. Martinez-Esteso MJ, Sellés-Marchart S, Vera-Urbina JC, Pedreño MA, Bru-Martinez R (2011) DIGE analysis of proteome changes accompanying large resveratrol production by grapevine (Vitis vinifera cv. Gamay) cell cultures in response to methyl-β-cyclodextrin and methyl jasmonate elicitors. J Proteomics 74: 1421-1436. doi: 10.1016/j.jprot.2011.02.035. [View Article] [PubMed] [Google Scholar]
  59. Chandler SF, Sanchez C (2012) Genetic modification; the development of transgenic ornamental plant varieties. Plant Biotechnol J 10: 10-891. doi: 10.1056/NEJMoa1304839. [View Article] [PubMed] [Google Scholar]
  60. Dale PJ (1995) R & D regulation and Field trialling of transgenic crops. Trends Biotechnol. 13:398–403. doi: 10.1016/S0167-7799(00)88988-X. [View Article][Google Scholar]
  61. Birch RG (1997) PLANT TRANSFORMATION: Problems and Strategies for Practical Application. Annu Rev Plant Physiol Plant Mol Biol 48: 297-326. doi: 10.1146/annurev.arplant.48.1.297. [View Article] [PubMed] [Google Scholar]
  62. Karthikeyan A, Pandian SK, Ramesh M (2011) Agrobacterium-mediated transformation of leaf base derived callus tissues of popular indica rice (Oryza sativa L. sub sp. indica cv. ADT 43). Plant Sci 181: 258-268. doi: 10.1016/j.plantsci.2011.05.011. [View Article] [PubMed] [Google Scholar]
  63. Ishikawa M, Ishikawa M (2006) Transformation of suspension cultures of bromegrass (Bromus inermis) by Agrobacterium tumefaciens. Plant Cell Tiss Org Cult 84:293–299. doi: 10.1007/s11240-005-9037-3. [View Article][Google Scholar]
  64. Brasileiro ACM, Dusi DMA (1999) Transformação genética de plantas, in Cultura de Tecidos e Transformação Genética de Plantas, (Torres, A.C., Caldas, L.S., Buso, J.A. eds.) Embrapa-SPI/Embrapa-CNPH, Brasília, Brazil. pp 679–735. [Google Scholar]
  65. Ketchum REB, Gibson DM (1996) Paclitaxel production in cell suspension cultures of Taxus. Plant Cell Tiss Org Cult 46:9–16. [Google Scholar]
  66. Kim CH, Kim KI, Chung IS (2000) Expression of modified green fluorescent protein in suspension culture of Taxus cuspidata. J Micro Biotech 10:91–94. [Google Scholar]
  67. Liu Z, Park B, Kanno A, Kameya T (2005) The novel use of a combination and vacuum infiltration in Agrobacterium-mediated transformation of kidney bean (Phaseolus vulgaris) with lea gene. Mol Breed 16:189-197. [Google Scholar]
  68. Trick WE, Kuehnert MJ, Quirk SB, Arduino MJ, Aguero SM, et al. (1999) Regional dissemination of vancomycin-resistant enterococci resulting from interfacility transfer of colonized patients. J Infect Dis 180: 391-396. doi: 10.1086/314898. [View Article] [PubMed] [Google Scholar]
  69. Zhang P, Li ST, Liu TT, Fu CH, Zhou PP, et al. (2011) Overexpression of a 10-deacetylbaccatin III-10 β-O-acetyltransferase gene leads to increased taxol yield in cells of Taxus chinensis. Plant Cell Tiss Organ Cult 106:63–70. [Google Scholar]
  70. Kunkel T, Niu QW, Chan YS, Chua NH (1999) Inducible isopentenyl transferase as a high-efficiency marker for plant transformation. Nat Biotechnol 17: 916-919. doi: 10.1038/12914. [View Article] [PubMed] [Google Scholar]
  71. Cai M, Wei J, Xianghua L, Caiguo X, Shiping W (2007) A rice promoter containing both novel positive and negative cis-elements for regulation of green tissue specific gene expression in transgenic plants. Plant Biotechnol J 5: 664-674.[Google Scholar]
  72. Karimi M, Inzé D, Depicker A (2002) GATEWAY vectors for Agrobacterium-mediated plant transformation. Trends Plant Sci 7: 193-195. [PubMed] [Google Scholar]

Supplementary information

Figure S1. Assays to determine an appropriate selection agent in Vitis cells culture.
Figure S2. Nontransformed cells from Monastrell, Gamay and Taxus x media (A,B,C respectively) after 4 weeks in selection medium.
Supplementary information of this article can be found online at https://www.jbmethods.org.